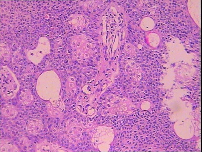
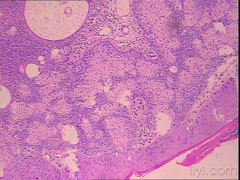
患者,男性,26岁,右眉中下端囊肿4年。手术切除肿物送检灰白色组织体积1.8cm×0.9cm×0.3cm,切面灰白、细腻。


明显看到皮脂腺细胞,应该是皮脂腺病变中的一个,有皮脂腺分化的有皮脂腺上皮瘤,皮脂腺瘤,皮脂腺腺瘤,皮脂腺增生,皮脂腺痣,基底细胞癌癌伴皮脂腺分化。基底细胞多于50%可以诊断皮脂腺上皮瘤,不然诊断皮脂腺腺瘤,本例诊断皮脂腺腺瘤似乎合适些。
本站所注明来源为"爱爱医"的文章,版权归作者与本站共同所有,非经授权不得转载。
本站所有转载文章系出于传递更多信息之目的,且明确注明来源和作者,如果您认为我们的转载侵犯了您的权益,请及时通过电话(400-626-9910)或邮箱(zlzs@120.net)通知我们,我们将第一时间处理,感谢。