诊疗助手APP 百万医护都在兼职、学习、交流
立即打开
文章详情 推荐阅读

儿童牙外伤的急诊处理原则及方法

儿科
2011-12-05阅读:7347
来源:爱爱医 / 责任编辑:申琼鹤

    一、概况

    学龄前儿童活动量大,缺乏自我保护意识,在颌面部的外伤中,由于前牙位置软突出,前牙的外伤最常见。如不及时处理或处理不当,可导致颌骨发育异常,牙齿错位,牙髓组织坏死等。

    二、牙外伤的急诊处理原则

    (一)检查外伤情况:


    对于发生牙外伤即刻就诊的患儿,接诊医生首先要对患儿的全身情况作初步的检查,只有在排除全身其他组织和器官受损时,才能对患牙进行处理,反之要首先治疗其他更为严重的外伤。

    (二)检查口腔及牙齿的损伤状况:

    儿童牙外伤时,往往还伴有口腔软、硬组织的损伤,要仔细检查损伤程度,尤其是有无牙槽骨、颌骨骨折等,如果有严重的软硬组织损伤,要作相应的治疗后,再行外伤牙的处理。

    (三)检查外伤牙的情况:

    对合作的患儿,有条件时,首先是作X线检查,了解外伤牙的损伤程度、牙根发育状况、外伤乳牙与恒牙胚的关系等,为制定恰当的治疗方案提供依据。对于年龄较小,无法拍摄X线片的患儿,需根据临床检查结果制定合适的治疗计划,但要告知家长必须作定期的复查,必要时再行X线检查。

    如果没有条件摄X线片,要根据临床检查情况做相应的急诊处理,如用暂时材料封闭断面、固定松动牙等,嘱咐家长及时带患儿到有条件的医院或门诊摄X线片,以确定最终的治疗方案。必要时要摄胸片检查是否有脱位牙吸入。
 

    (四) 外伤牙的处理原则:

    对于年龄较小的患儿,要尽量保留受伤的乳牙保留牙齿比保留牙髓更为重要。对接近替换而严重受伤的乳牙可以拔出。

    年轻恒牙外伤时,要尽量保留牙髓活力,以保证牙根的继续发育,可根据外伤的程度,采取保留全部冠髓、根髓或根尖部分活髓的治疗方法。

    三、外伤牙的急诊处理方法


    (一)乳牙外伤的处理方法

    1、牙震荡或牙釉质折的乳牙,可不作任何处理,但要告知家长可能出现的各种后果,并要做好患儿口腔的清洁,待有条件时摄X线片,并定期复查。

    2、牙本质折:对于合作的患儿如果折断面积较大,可行断冠修复。如果鉴于患儿的年龄和/或行为不作冠修复的话,可磨去锐利的断缘,去除牙折断片,嘱咐家长注意患儿的口腔清洁,并作定期复查。

    3、牙折露髓:条件允许时可作直接盖髓、修复断冠,如果没有条件完成治疗,可暂时覆盖断面,待有条件时作彻底治疗。切不可因为患儿的不合作而不对露髓点/面作及时处理。

    4、根折:根折没有明显松动的乳牙,可暂时不作处理,如果冠部松动明显,可去除严重松动的冠部断片,不要试图去除根部断片,以免伤及发育中的恒牙胚。可根据随后的X线片作进一步的处理。

    5、外伤挫入:根据X线片和临床检查结果,确定挫入的方向和程度,判断是否影响恒牙胚,如果没有对恒牙造成影响,可暂时保留乳牙,反之应拔出受伤乳牙。

    6、牙脱位:未伤及恒牙胚的乳牙,可暂时观察,或根据家长的要求作松牙固定和调和处理,但要告知家长一旦出现不适必须拔出。

    7、全脱出:建议全脱出的乳牙不作再植,因为在将牙根插入牙槽窝的过程中可能会伤及继承恒牙,但如果家长在就诊前已经自行进行了再植,则要向家长交代保留患牙的风险和成本效益比。
 

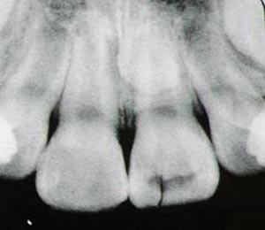
    9岁儿童冠折,下唇组织挫伤
 

    牙折线延伸至牙槽骨,诊断为冠-根
 

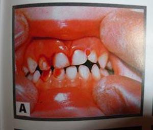
    乳牙牙震荡
 

#p#副标题#e#

    (二)恒牙外伤的处理方法

    1、牙齿震荡:不需作特别的处理,其预后通常较好,但也有牙髓坏死和牙根吸收的报道,因此需严密观察,并告知家长和患儿 注意事项,如果出现疼痛、松动等,需及时治疗。

    2、牙釉质和牙本质折断:对牙本质暴露的患牙,最基本的问题是防止细菌通过暴露的牙本质刺激牙髓,一般采用复合树脂酸蚀粘结修复,如果没有时间或条件将患牙完全修复,可以先用树脂材料暂时覆盖,直至可以行永久性修复。

    3、冠折合并牙髓暴露:根据以下临床发现治疗:牙髓暴露的时间,暴露牙髓的活力,冠折牙的牙根发育阶段,冠折牙的可修复性。

    其治疗目的是尽量保留活髓,根据不同情况采取三种治疗方法:直接盖髓、活髓切断和牙髓摘除。

    ◆ 直接盖髓:适用于露髓孔小,在受伤后几小时内就诊的患者。需严格掌握适应症。

    ◆ 活髓切断:适用于牙髓暴露面较大或受伤后时间较长的患者,成功率较高。

    ◆ 牙髓摘除:适用于外伤时间长,牙髓感染或坏死的年轻恒牙,也适用于牙根发育完成的恒牙。

    4、根折: 有条件时应首先摄X线片, 根据根折的位置和牙根发育的情况 ,采取适当的治疗方法。

    ◆ 无条件摄X 线片,如果牙无明显松动,可暂不作处置,待门诊摄片后再作治疗。

    ◆ 如果患牙明显松动 ,估计松动部分无法保留,也可拔出松动折片,有条件拍X线片后做相应的治疗。

    5、挫入:挫入的恒牙预后不好,常常会发生牙髓坏死、牙根吸收和牙槽骨丧失。

    ◆ 急诊时如果没有条件摄X线片, 挫入牙无松动, 可暂时不作处理, 待第二天门诊拍片后确定治疗方案。

    ◆ 建议用正畸的方法,用较轻的力使挫入的牙齿复位,并在受伤两周内去除牙髓作相应的治疗。

    6、脱出:脱出的恒牙要立即复位,并固定2 周。对根尖孔闭合的恒牙,由于易发生牙髓坏死,所以建议在固定后行根管治疗。根尖孔未闭合的恒牙还有可能实现再血管化,保持牙髓活力,所以等临床或影像学检查有牙髓坏死的指征时再进行治疗。

    四、给家长、老师的信息和指导

    儿童牙外伤发生多数是突发的, 首先发现的往往是家长或学校老师,因此给家长和老师一些相关的信息和指导是必要的。

    (一) 牙外伤后较为常见的是牙齿折断松动,患儿疼痛明显,不能进食。家长不要过分紧张,可用清水冲洗口腔,去除血污及杂质。不要自行擦拭牙齿断面及晃动牙齿,这会加剧患儿的疼痛及恐惧心理,对后续治疗产生不利的影响。

    (二)尽快带患儿就诊,尤其是严重的牙外伤,如脱出、挫入、冠折露髓等,治疗越及时预后越好。

    (三)不能及时就诊时,对于牙震荡、牙釉质折、牙本质折、轻度脱位等,可延迟到第二天治疗,不会影响预后。但切不可因为患儿没有疼痛、松动而不就诊。

    (四)全脱位的恒牙,脱出牙槽窝的时间越长预后越差,因此要对患牙作即刻再植,在无法及时到医院时,可由家长、老师等将患牙用清水轻轻冲洗后植入牙槽窝。

    (五)对无法自行再植的脱位牙,可先保存在牛奶、生理盐水中,也可存于儿童的口中,但放入儿童口中要防止患儿因为紧张而将牙齿吞入、误吸等,因此时方法不适用于低龄儿童。

    (六)维护患儿口腔卫生对外伤牙的预后是重要的,要彻底清洁和去除患牙周围的菌斑,使用抗菌制剂,如洗必泰、过氧化氢溶液等漱口,可促进受伤牙龈的愈合。

    低龄儿童漱口时可能会吞入药液,建议家长用棉签涂药擦试患牙牙周组织,尤其是餐后。

    严重的牙齿脱位和口腔软组织损伤需服用抗菌素。

    (七)受伤后几天内,患儿要进软食。对于脱位牙切不可受力,不能用患牙咀嚼食物,否则会影响外伤牙的预后。

    (八)告知家长牙外伤后可能出现的并发症、预后,外伤乳牙可能对继承恒牙的影响,早期发现症状和体征及时给予适当的治疗。

    (九)告知家长定期复查的重要性,少数家长因患儿没有出现不适,或没有时间而不定期复查,待出现牙髓坏死、牙根吸收时才就诊,影响了患牙的预后。

    总之,对外伤后及时、正确的处理是非常 重要的。

想说什么在这输入
0
0