诊疗助手APP
百万医护都在兼职、学习、交流
立即打开
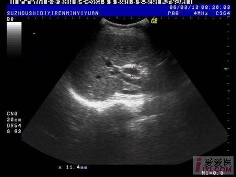
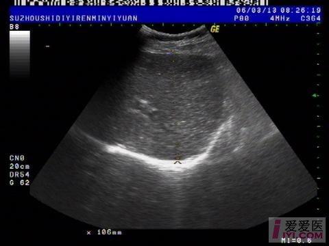
【原创】胆总管扩张
h****o
楼主
+关注
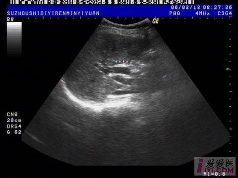
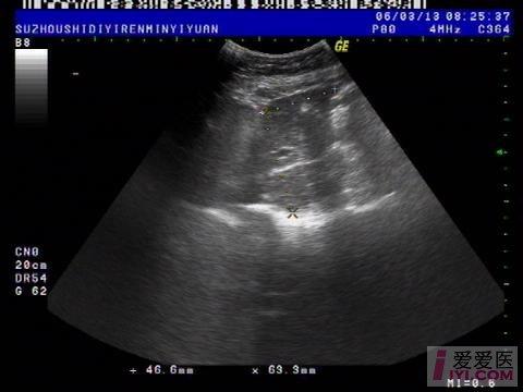
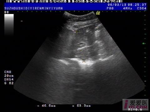
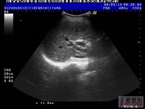
今天上午检查的一位病人, 胆囊切除术后会不会一定伴有胆总管扩张?
肝脏:左叶:长度47mm,厚度63mm 右叶:斜径106mm,形态规则,包膜完整,肝区光点细密,内部回声均匀,肝内血管走行清晰。 门静脉内径10mm。
胆囊:已切除。 胆总管:内径:11mm,胆囊窝未见积液。
1.肝未见异常。
2.胆总官扩张。
2006-03-13 21:26:25 5390 浏览
全部评论
d***f
抢首赞
切除后会扩张,但也要排除其他原因引起的才行,应该看一下下段胆管和胰腺的改变。
2006-03-21 18:17:45
·
广西壮族自治区
回复
h****7
抢首赞
同意楼上的说法,而且饭后还会收缩和胆囊一样.我曾经无意中发现的,病人做了上腹部后还要做子宫附件就去吃饭了,等小便急时来查,空腹时胆总管内径是11-15mm,餐后缩小为7mm了.:)
2006-03-21 16:21:01
·
江苏省
回复
r****i
抢首赞
胆囊切除术后会不会一定伴有胆总管扩张?从目前我所见过的病例来看,大部分是有扩张的,但程度不一样。从生理角度来说,应该是会有扩张的。我所见过的扩张程度6~13mm不等。
2006-03-21 14:44:45
·
福建省
回复
登录后查看全部评论
11
发送
热门推荐
教科书式病例,医生有多想遇见?
医生会帮同行解释吗?
医生如何当好健康“守门人”?
医生的诊疗时间,够用吗?