诊疗助手APP
百万医护都在兼职、学习、交流
立即打开
【讨论】肝脏左叶实性占位一例
3****头
楼主
+关注
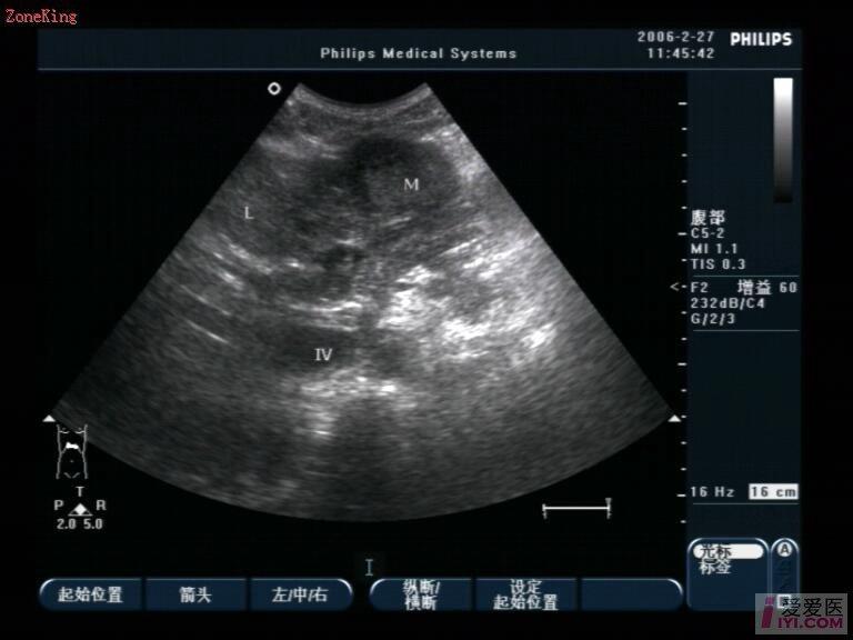
患者 男34岁 腹痛及肋缘下轻压疼 体温正常
肝脏:右叶斜径约125mm,包膜欠光滑,肝静脉清晰,实质回声欠均质,肝左叶探及约42mm×35mm中等偏低回声,边界尚清,边缘欠规则,其内回声欠均匀,CDFI:包块内及周边加彩填色可见少许树枝状彩色血流信号,PW:其中一支动脉:RI:0.88,PSV:32.4cm/s;门静脉内径13 mm,出肝门大量气体干扰显示欠清。
2006-02-27 17:29:44 6562 浏览
全部评论
3****头
抢首赞
请问血流阻力很高,是不是可以往CA的方向靠靠呢?这个病人过几天还来复查!
2006-03-03 22:02:11
·
重庆市
回复
爱**魂
抢首赞
肝左叶探及约42mm×35mm中等偏低回声,牵拉包膜,引起腹痛,回声不均质,并且RI:0.88,PSV:32.4cm/s;占位改变最大,门静脉内径13 mm,不算很宽,正常可以考虑1.4CM,作为参考值,内部回声不是很清楚。符合肝实质内占位性超声改变
2006-03-01 10:41:26
·
山东省
回复
3****头
抢首赞
大家给点看法呀!!讨论一下嘛!
2006-03-01 01:07:55
·
重庆市
回复
登录后查看全部评论
7
发送
热门推荐
教科书式病例,医生有多想遇见?
医生会帮同行解释吗?
医生如何当好健康“守门人”?
医生的诊疗时间,够用吗?