诊疗助手APP 百万医护都在兼职、学习、交流
立即打开

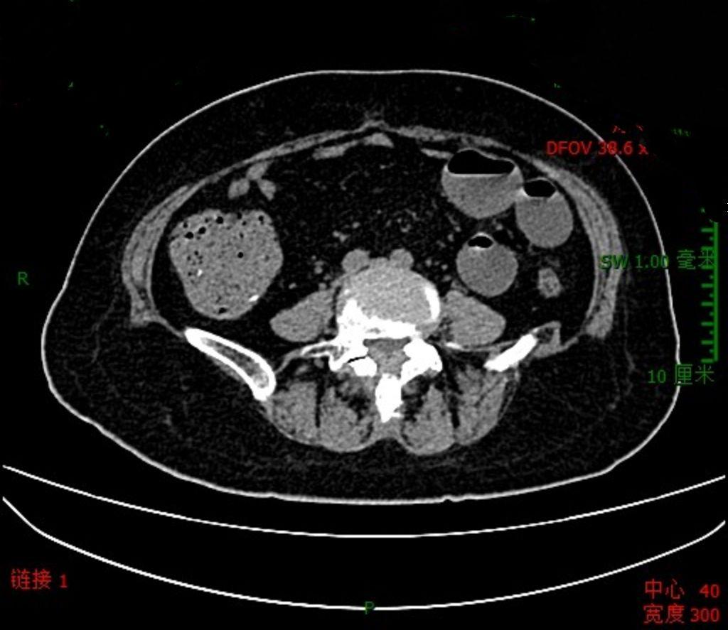
化疗后真的很容易发生肠梗阻

u****4 楼主
+关注
肿瘤化疗后,由于患者体能差,胃肠道蠕动变弱,长期卧床,确实很容易发生肠道梗阻。所以如果化疗后两三天大便不通畅,就得警惕了,早期干预,避免发生肠梗阻,或者其他更为严重的合并症。
2026-02-17 01:24:22  209 浏览
全部评论
抢沙发,发首评,稳占C位! 立即抢沙发
热门推荐
教科书式病例,医生有多想遇见?
医生会帮同行解释吗?
医生如何当好健康“守门人”?
医生的诊疗时间,够用吗?