诊疗助手APP 百万医护都在兼职、学习、交流
立即打开

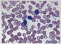
仔细盯盯,能看到大颗粒淋巴细胞

u****4 楼主
+关注
2026-02-02 11:16:36  1346 浏览
全部评论
抢沙发,发首评,稳占C位! 立即抢沙发
热门推荐
教科书式病例,医生有多想遇见?
医生会帮同行解释吗?
医生如何当好健康“守门人”?
医生的诊疗时间,够用吗?