诊疗助手APP 百万医护都在兼职、学习、交流
立即打开

骨肌类

w****9 楼主
+关注
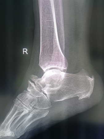
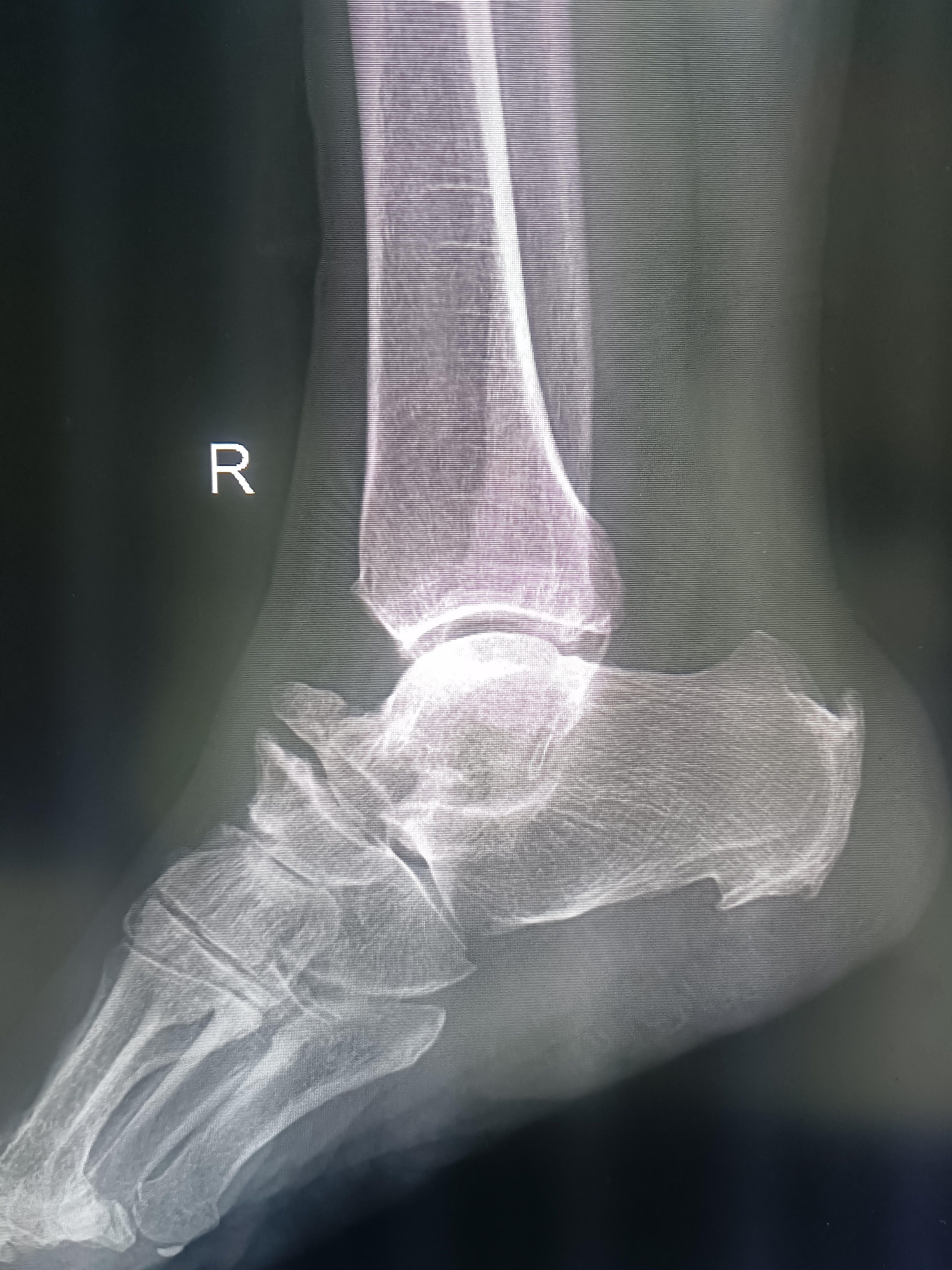
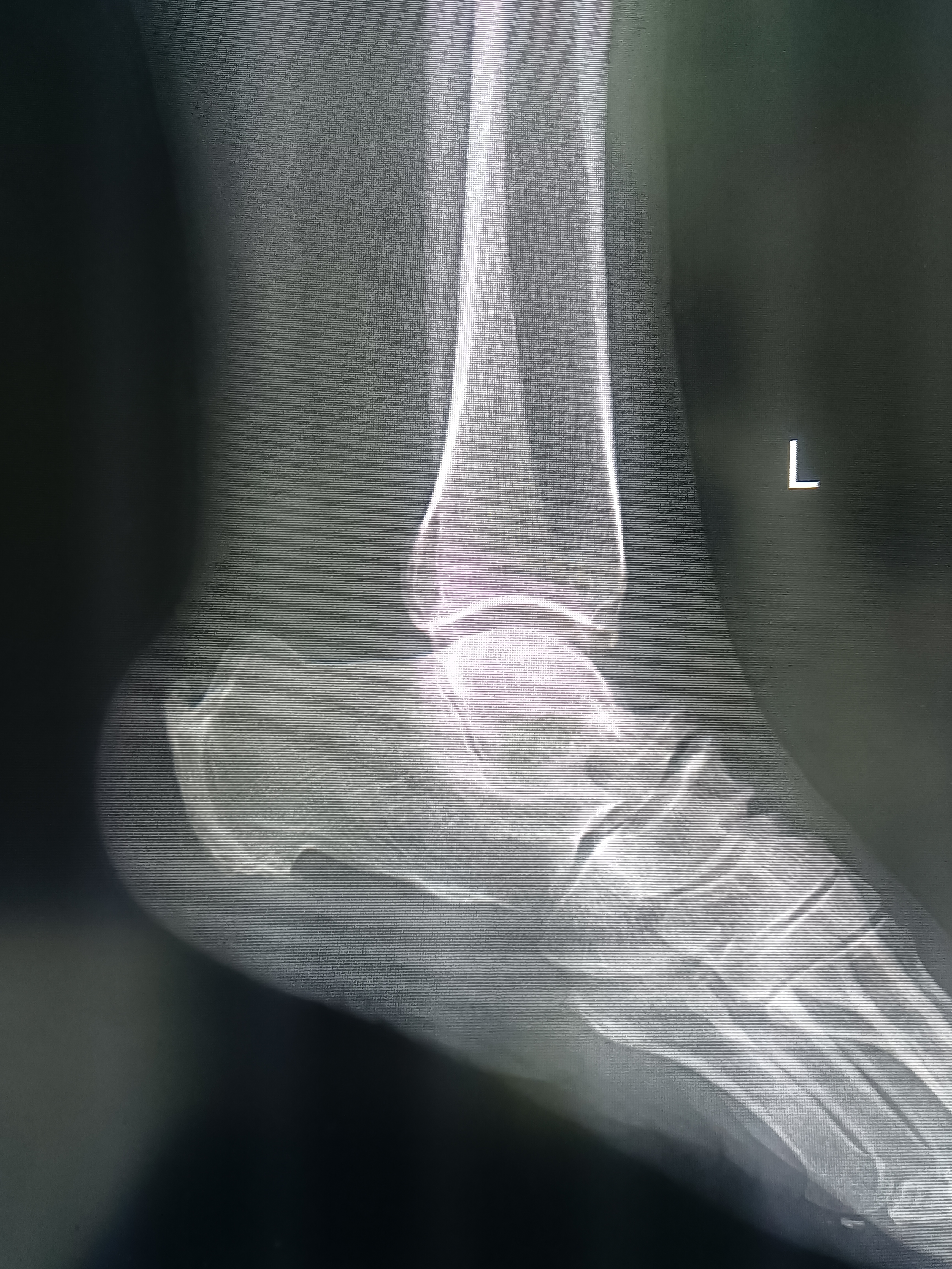
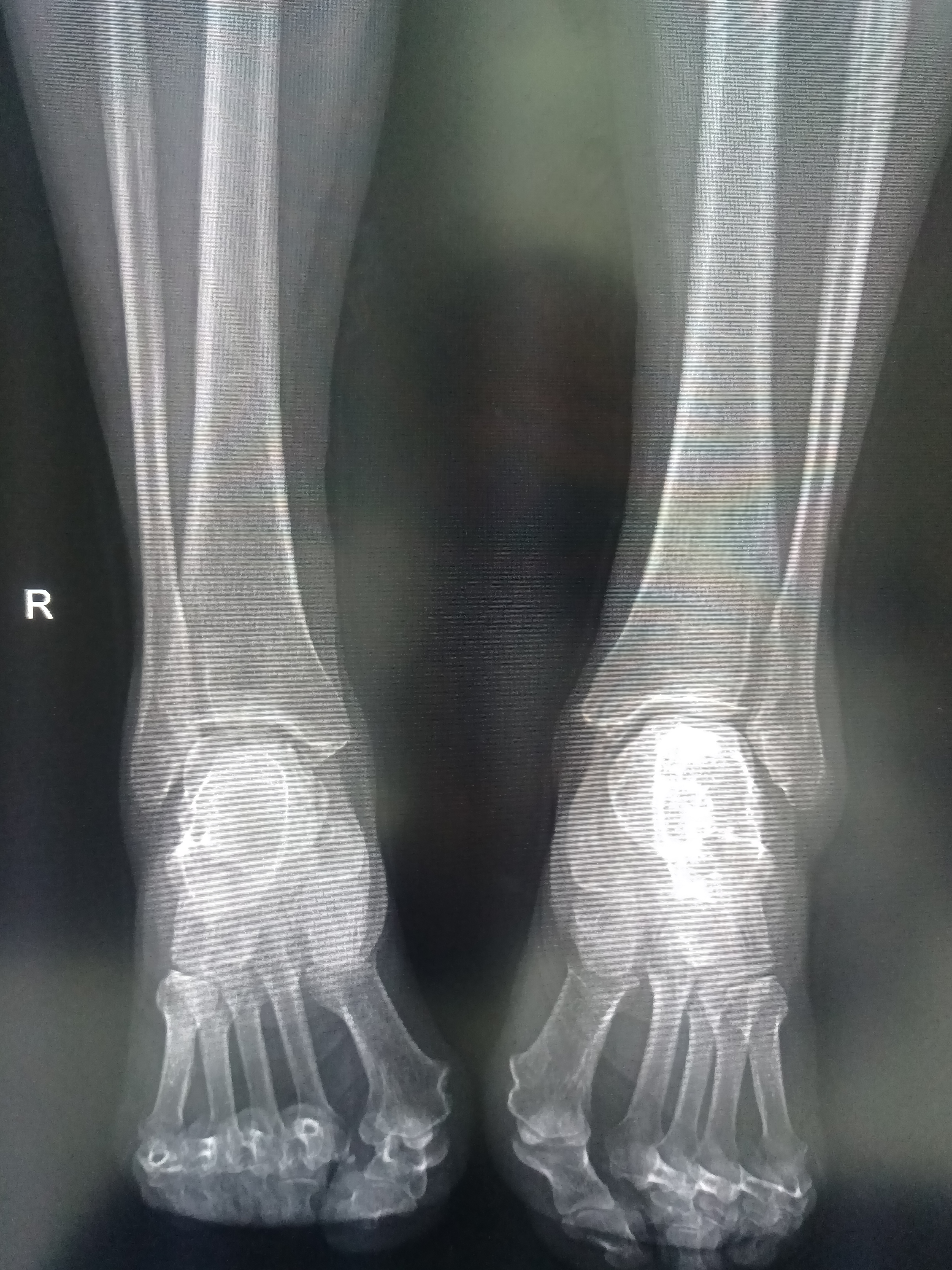
双足踝疼痛病例分享!


2026-01-17 15:05:33  1349 浏览
全部评论
抢沙发,发首评,稳占C位! 立即抢沙发
热门推荐
教科书式病例,医生有多想遇见?
医生会帮同行解释吗?
医生如何当好健康“守门人”?
医生的诊疗时间,够用吗?