诊疗助手APP 百万医护都在兼职、学习、交流
立即打开

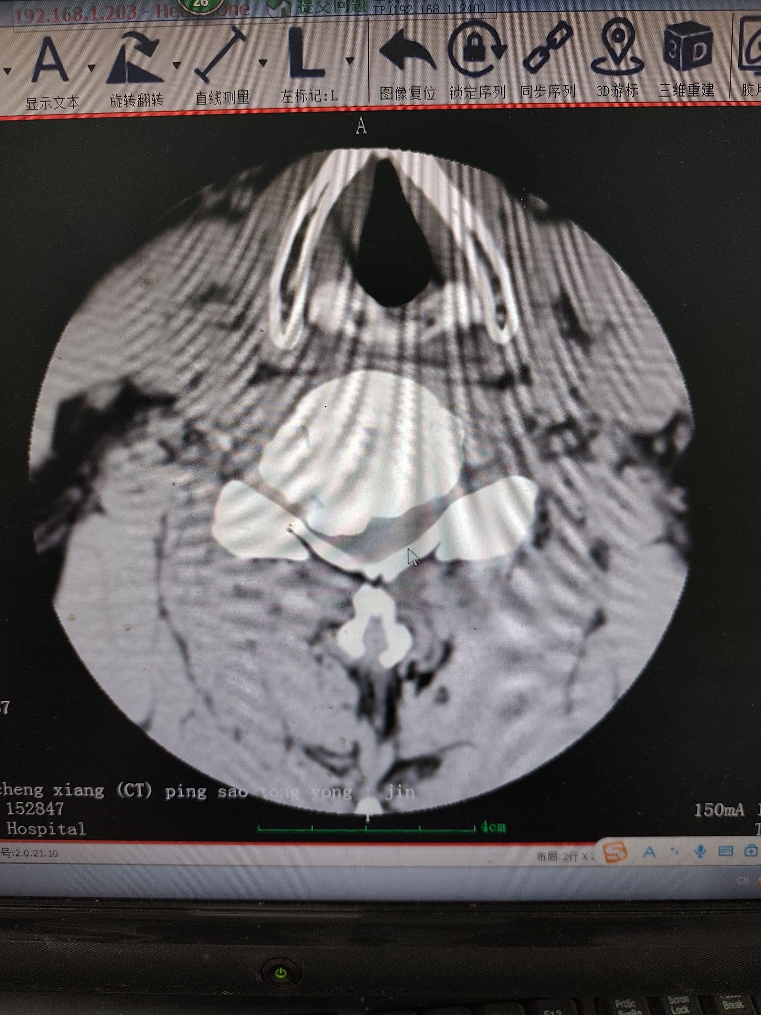
右肩疼痛|个月半右手麻木

w****6 楼主
+关注
颈椎间盘突出,椎管狭窄

--------------------
此消息发自Android版诊疗助手
2025-12-16 19:41:29  4085 浏览
全部评论
抢沙发,发首评,稳占C位! 立即抢沙发
热门推荐
教科书式病例,医生有多想遇见?
医生会帮同行解释吗?
医生如何当好健康“守门人”?
医生的诊疗时间,够用吗?