诊疗助手APP
百万医护都在兼职、学习、交流
立即打开
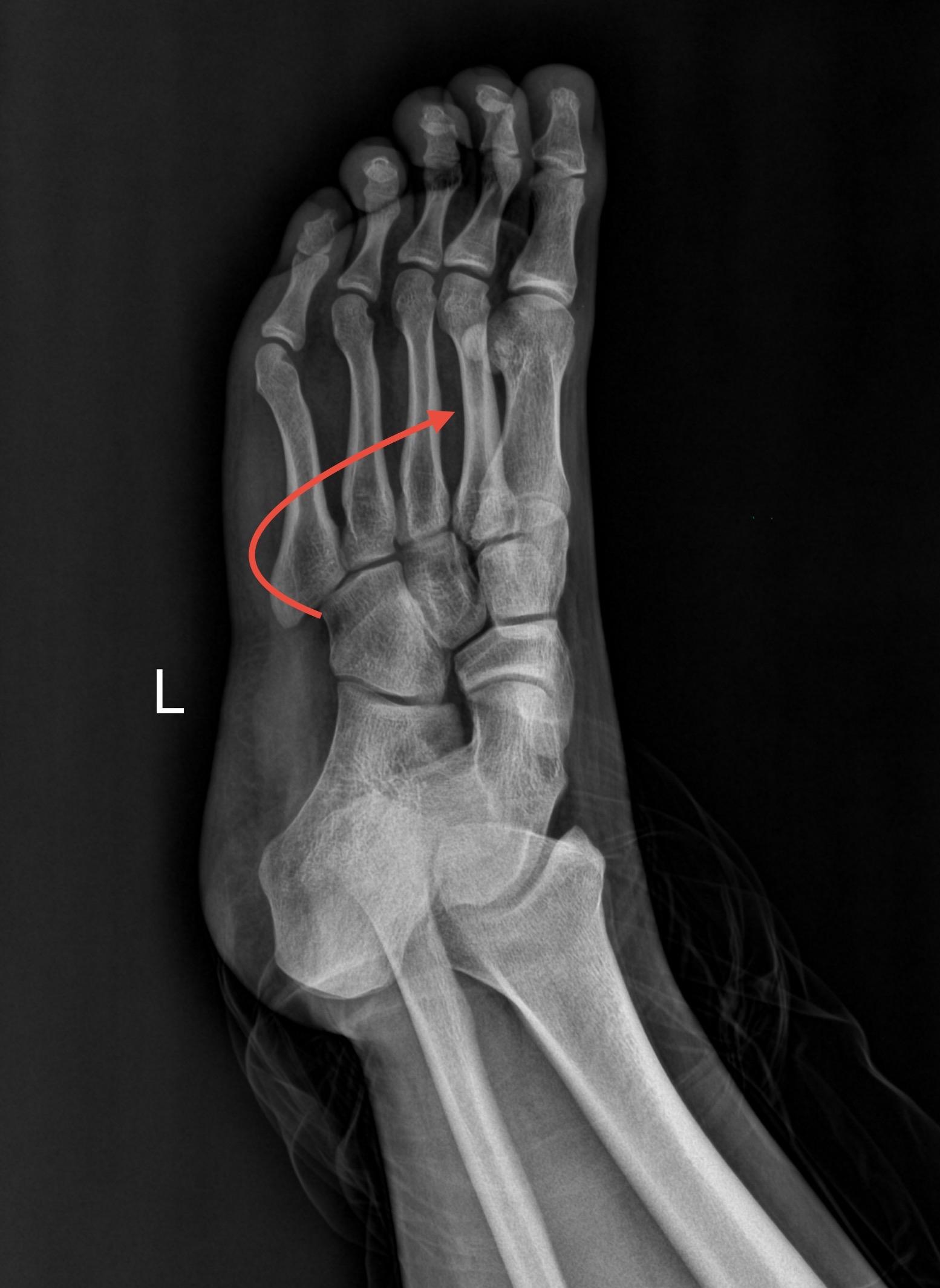
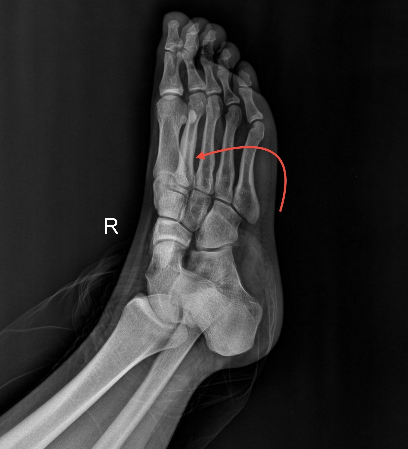
【骨肌】爱运动的烦恼!男,15岁,双侧足底部隐痛,爱好运动,喜欢长跑与打羽毛球!
新**易
楼主
+关注
男,15岁,双侧足底部隐痛,爱好运动,喜欢长跑与打羽毛球!
2025-11-08 15:37:04 2708 浏览
全部评论
2****5
抢首赞
感谢你提供病例讨论!
2026-01-18 21:24:03
·
山东省
回复
登录后查看全部评论
1
发送
热门推荐
教科书式病例,医生有多想遇见?
医生会帮同行解释吗?
医生如何当好健康“守门人”?
医生的诊疗时间,够用吗?