诊疗助手APP 百万医护都在兼职、学习、交流
立即打开

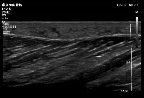
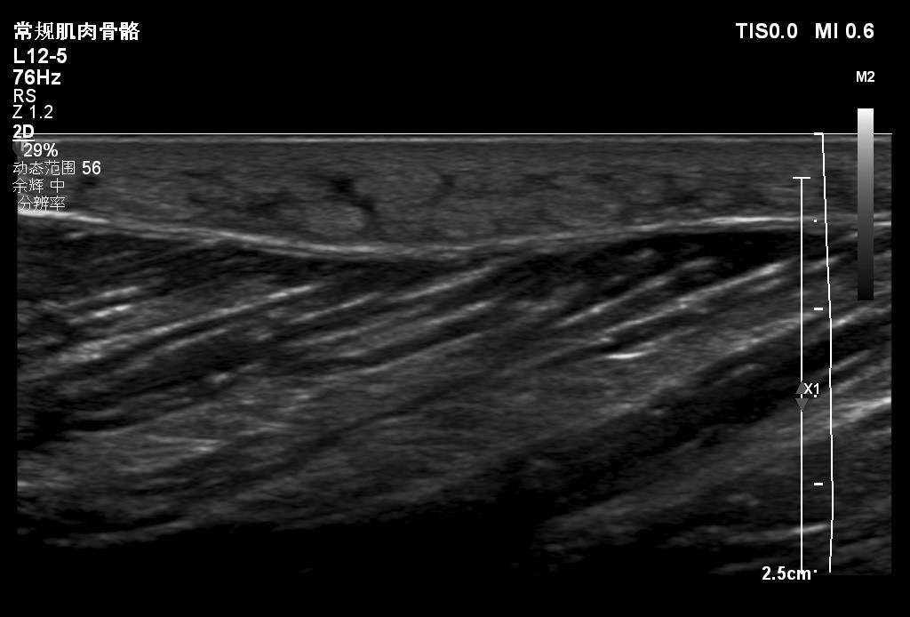
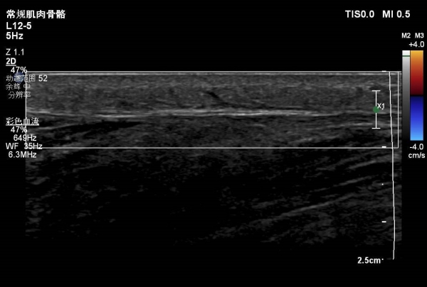
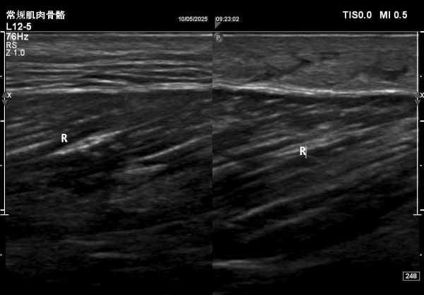
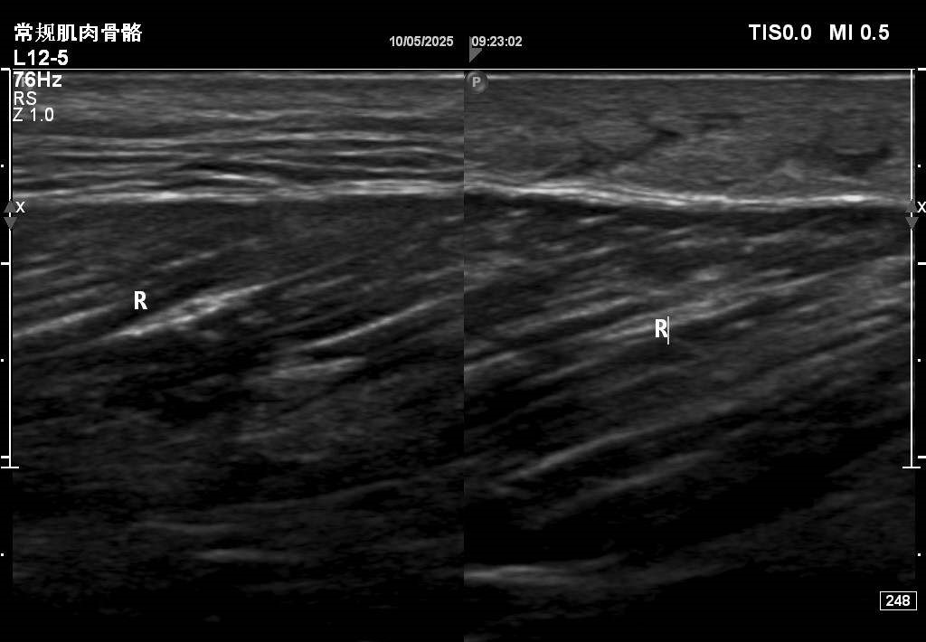
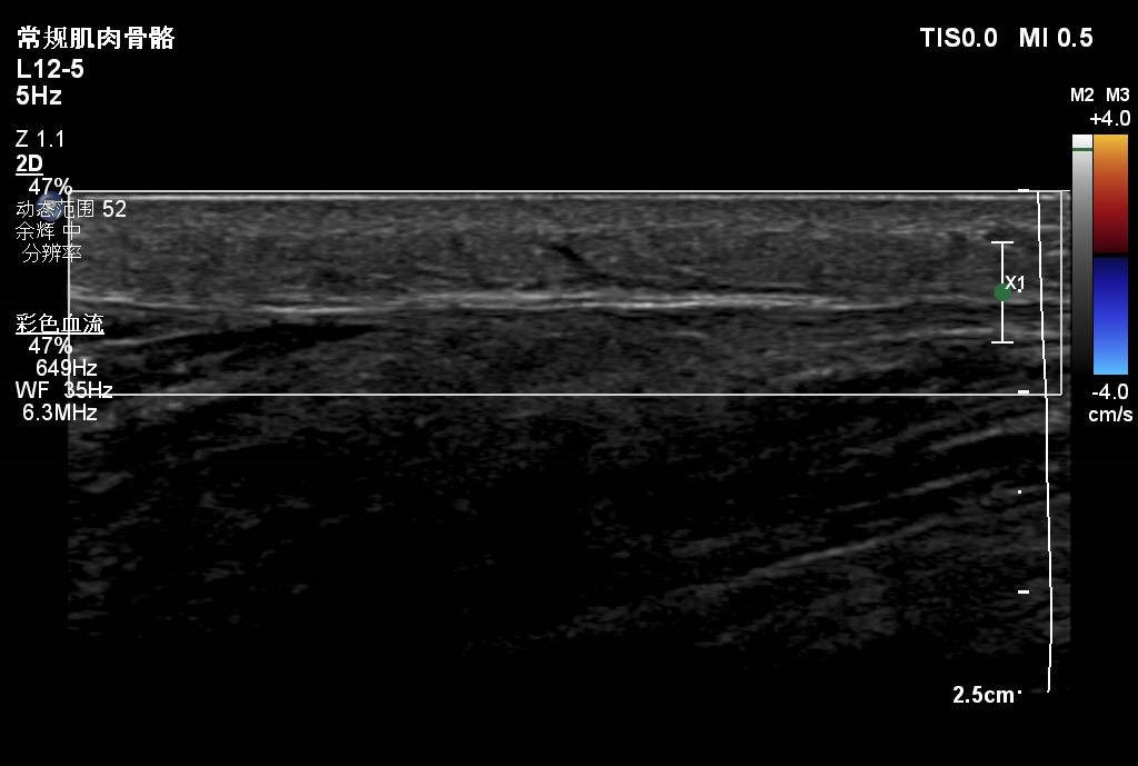
大腿包块—病例

l****7 楼主
+关注

病例信息

患者大腿远端浅表可见一包块隆起,自述半月前出现红肿,目前未见明显红肿,触摸感觉微痛。

病例讨论

根据病情考虑可能蚊虫叮咬水肿。大家考虑是什么?有没有专家给看看,是什么?谢谢。






2025-10-06 13:59:54  2014 浏览
全部评论
抢沙发,发首评,稳占C位! 立即抢沙发
热门推荐
教科书式病例,医生有多想遇见?
医生会帮同行解释吗?
医生如何当好健康“守门人”?
医生的诊疗时间,够用吗?