诊疗助手APP
百万医护都在兼职、学习、交流
立即打开
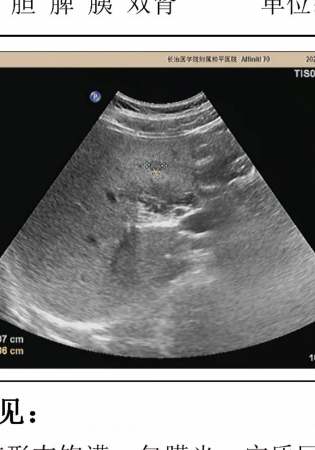
右肝低回声结节,发现后五个月彩超复查无变化,考虑什么?
h****o
楼主
+关注
肝脏低回声结节,界清,无血流信号显示,无肝病史,乙肝有抗体,甲胎蛋白正常,发现时1.0*0.7cm,两月后复查彩超0.9*0.6cm,又过了三个月复查彩超1.0*0.8cm,前后五个月无变化,有不均质脂肪肝背景,五个月减肥后脂肪肝很轻了基本没有,这低回声区像什么?可以排除肝CA吗?
2022-03-30 09:51:03 6728 浏览
全部评论
h****o
抢首赞
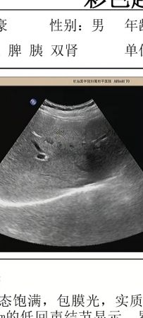
三个月每天快走半个小时,复查彩超脂肪肝没了低回声区也消失了,证实是肝岛
2022-07-19 17:15:14
·
山西省
回复
n****8
抢首赞
弥漫性脂肪肝伴肝岛形成,为了证实你的想法多花了多少检查费...不过你很负责,必须点赞
2022-06-26 21:41:53
·
四川省
回复
h****o
抢首赞
四月份做了5mm增强CT,什么东西也有发现,重新让医生看了彩超,低回声很轻了找了半天才找见,而且这低回声并是不在肝右叶,而是在肝左内叶S4段,医生说可能是肝岛
2022-05-27 07:03:50
·
山西省
回复
登录后查看全部评论
6
发送
热门推荐
教科书式病例,医生有多想遇见?
医生会帮同行解释吗?
医生如何当好健康“守门人”?
医生的诊疗时间,够用吗?