轻链近端肾小管病
y****4
楼主
+关注
轻链近端肾小管病
1、胞浆内晶体引起的慢性肾小管间质性肾病。
2、异常单克隆免疫球蛋白轻链(通常是κ,Vk1)在肾小管上皮细胞沉积,由浆细胞的克隆增殖产生。
3、临床表现为获得性范可尼综合征。
4、病理:肾小球正常,近端肾小管胞浆内晶体沉积,急性或慢性肾小管损伤,可以和骨髓瘤肾病、LCDD等同时出现。

图1 肾小管上皮细胞呈现的肿胀外观,伴有PAS阳性细胞质晶体样物质。可以在近端小管中看到为单型轻链染色的胞浆内结晶物质。

图2 MASM染色提示胞浆内晶体。

图3 不典型浆细胞浸润伴κ链染色阳性。
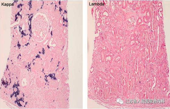
免疫荧光

图4 晶体的聚集显示出κ轻链的阳性染色(圆圈)。免疫荧光显示κ轻链的肾小管基膜有明亮的线性染色,而lambda轻链没有染色。合并LCDD的病例。
电镜

图5 肾小管基底膜中显示细颗粒状的电子致密沉积物。肾小管上皮细胞内各种大小和形状不一的晶体。
作者:张波
来源:江苏省人民医院肾内科(转载文章系出于传递更多信息之目的,且明确注明来源和作者,不希望被转载的媒体或个人可与我们联系,我们将立即进行删除处理)
2020-08-19 17:20:08 10297 浏览