诊疗助手APP
百万医护都在兼职、学习、交流
立即打开
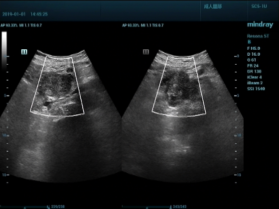
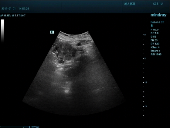
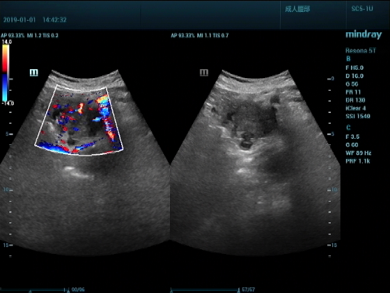
超声入门贴959--胰头癌并胰管扩张
s****i
楼主
+关注
男,88岁,腹部隐疼2个月加重3天来诊
2019-01-03 15:22:58 6955 浏览
全部评论
千***4
抢首赞
学习了,感谢楼主分享。
2019-03-28 07:51:20
·
黑龙江省
回复
千***4
抢首赞
图像很清晰,感谢楼主分享。
2019-03-23 05:45:06
·
黑龙江省
回复
L****9
抢首赞
胰腺显示的很清楚,图像清晰
2019-03-22 18:02:24
·
河南省
回复
登录后查看全部评论
9
发送
热门推荐
教科书式病例,医生有多想遇见?
医生会帮同行解释吗?
医生如何当好健康“守门人”?
医生的诊疗时间,够用吗?