诊疗助手APP 百万医护都在兼职、学习、交流
立即打开

超声入门贴939--胃结石,肺心病 ,右心衰(体验迈瑞Resona5T彩超)

s****i 楼主
+关注
本帖最后由 songjunrui 于 2018-12-16 14:04 编辑

体验迈瑞高端彩超Resona5T:病例分享:
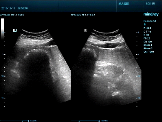
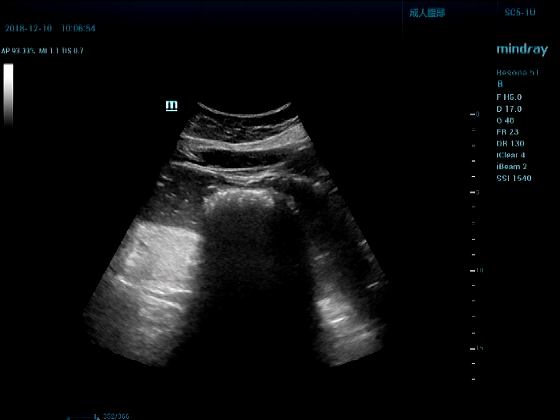
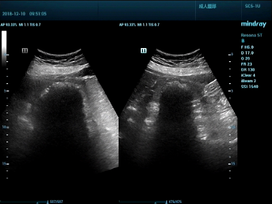
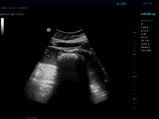
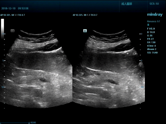
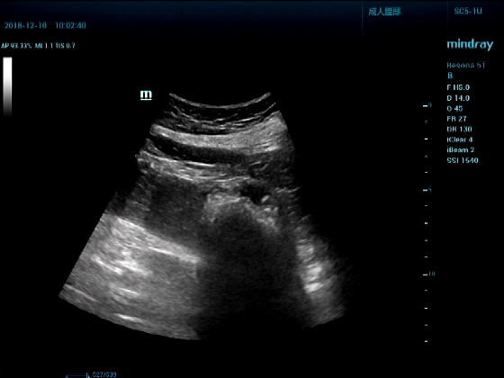
病例一:女,53岁,胃部不适一周来诊
超声可见:胃腔内见一小鸡蛋大强回声团块,后方伴强声影,位置活动。
问及病史吃山楂,柿子。
超声提示:结合临床考虑胃结石,治疗后复查



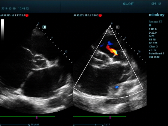
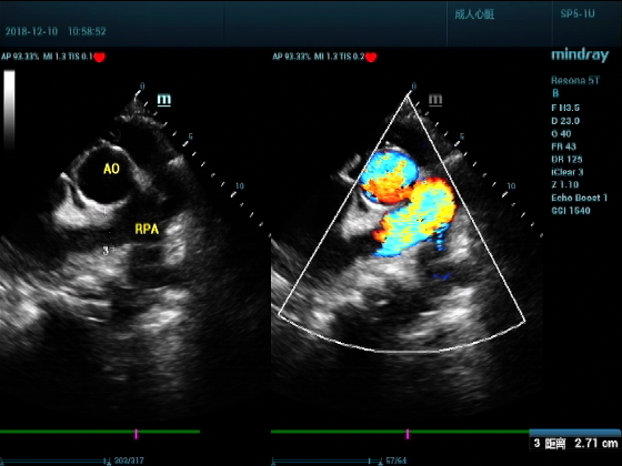
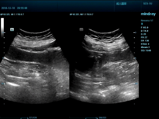
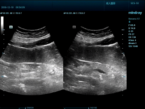
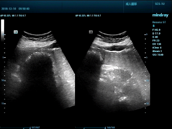
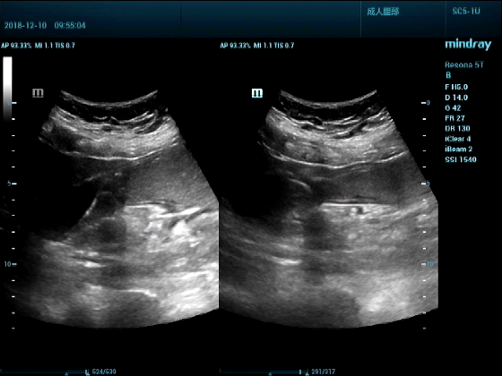
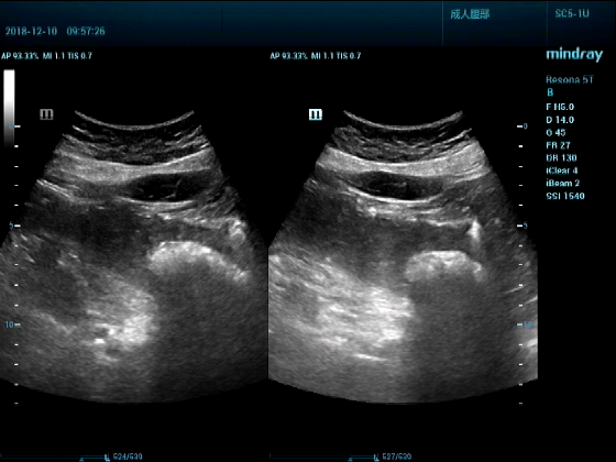
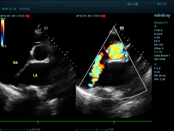
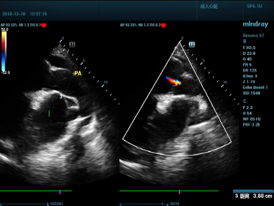
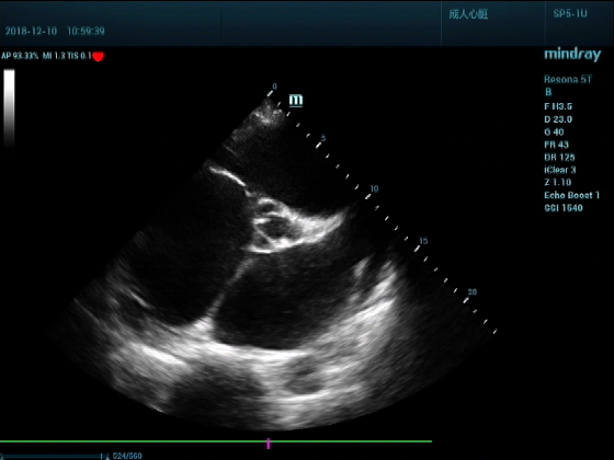
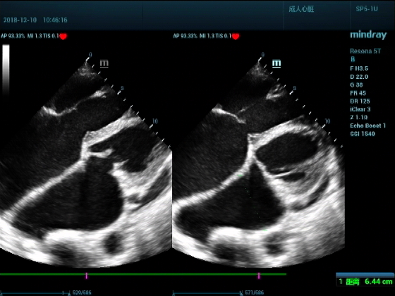
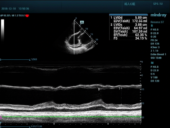
病例二:
男,81岁,全身浮肿来住院
超声可见:左房,右房,右室明显增大,主肺动脉及右肺动脉增宽,二尖瓣中度反流,三尖瓣重度反流,肺动脉轻度高压,心律不齐
心包积液盆腔积液。淤血性肝增大,肝静脉增宽。(右心衰声像改变)


爱爱医杂志投稿

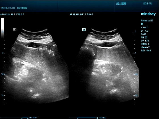
女,53岁,胃部不适一周来诊
超声可见:胃腔内见一小鸡蛋大强回声团块,后方伴强声影,位置活动。
问及病史吃山楂,柿子。
超声提示:结合临床考虑胃结石,治疗后复查






2018-12-10 12:48:17  5485 浏览
全部评论
千***4 抢首赞
继续学习中,感谢楼主分享。
2019-03-13 06:15:13·黑龙江省 回复
w****u 抢首赞
目前消化系统的疾病我们还没有开展过!感恩分享,学习了!
2019-03-11 09:59:57·山西省 回复
w****u 抢首赞
图片多又清晰,知识丰富!谢谢
2019-03-09 08:09:50·山西省 回复
登录后查看全部评论
9
热门推荐
教科书式病例,医生有多想遇见?
医生会帮同行解释吗?
医生如何当好健康“守门人”?
医生的诊疗时间,够用吗?