诊疗助手APP 百万医护都在兼职、学习、交流
立即打开

胆总管结石及左肝内胆管结石并肝内外胆管扩张一例

一***开 楼主
+关注
女,70岁,外伤入院就诊,皮肤未见明显黄疸,自述胆囊已切除
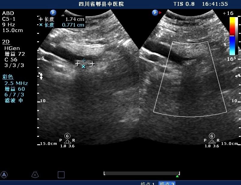
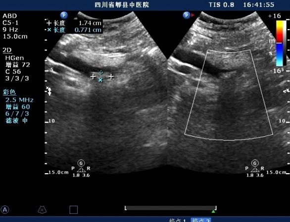
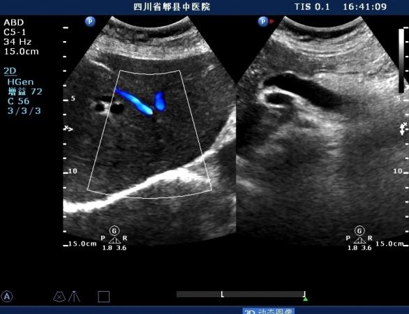
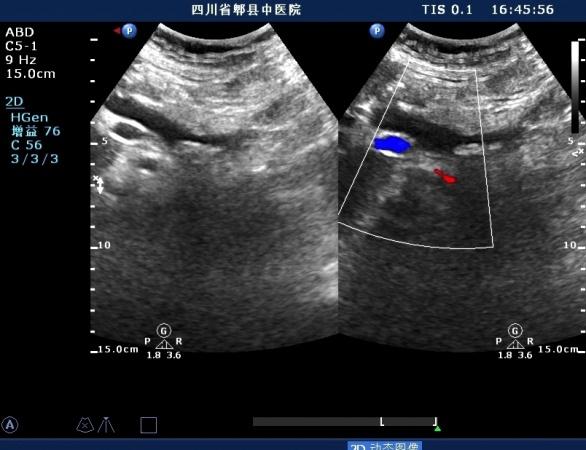
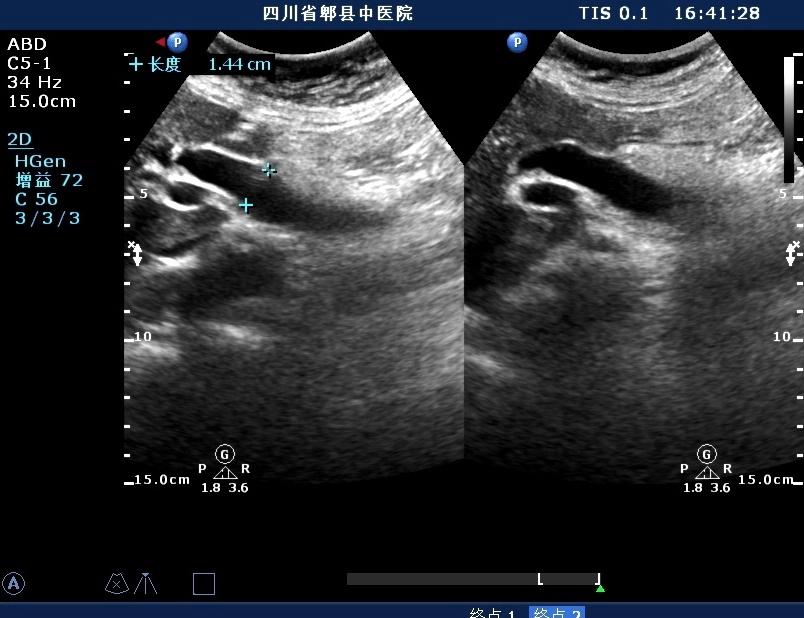
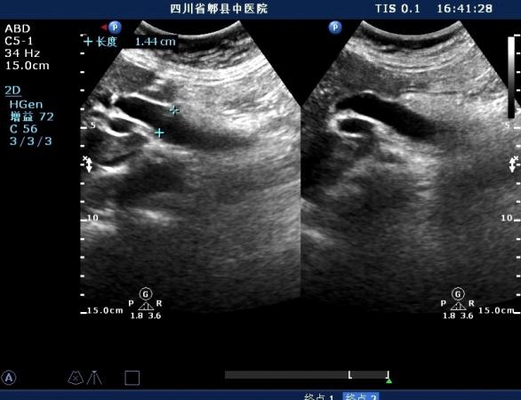
超声如图:胆总管及肝内胆管扩张,呈“平行管征”,胆总管胰腺段可见疏松强回声团堆积,后方可见淡淡声影,左肝外叶胆管内亦可见数个强回声团堆积,后方伴声影。 肝脏及胆总管
扩张的胆总管
扩张的左肝内胆管
扩张的右肝内胆管
胆总管胰腺段结石
胆总管胰腺段结石
胆总管胰腺段结石

左肝内胆管结石

2018-07-07 13:54:01  7110 浏览
全部评论
t****i 抢首赞
厉害啊。有次看到胆总管宽了,肝内胆管没有宽,这有什么意义呢
2018-07-25 22:43:33·黑龙江省 回复
w****e 抢首赞
图像清晰,标题到位,谢谢分享,学习了。
2018-07-15 14:08:07·山东省 回复
b****4 抢首赞
姐姐你这个采图技术真的很OK佩服佩服
2018-07-07 20:34:10·福建省 回复
登录后查看全部评论
3
热门推荐
教科书式病例,医生有多想遇见?
医生会帮同行解释吗?
医生如何当好健康“守门人”?
医生的诊疗时间,够用吗?