诊疗助手APP 百万医护都在兼职、学习、交流
立即打开

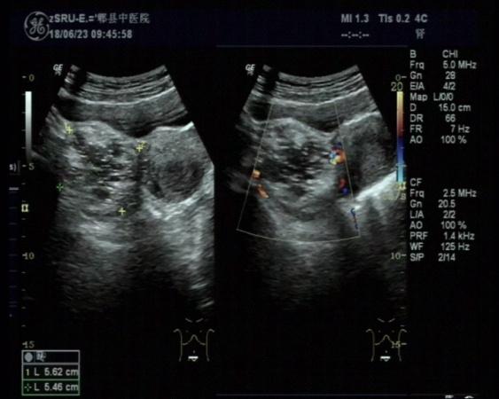
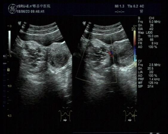
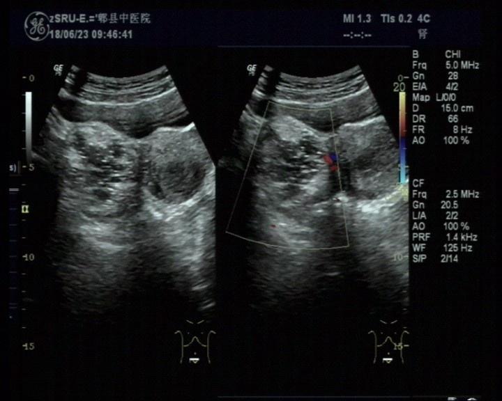
右侧附件区畸胎瘤可能

一***开 楼主
+关注
女,30岁,既往体检无异常,此次超声检查如图所示:右侧附件区探及一杂乱不均回声团,边界清楚,形态规则,CDFI:周边可见少许血流信号。




2018-07-02 16:18:01  1713 浏览
全部评论
b****4 抢首赞
这样子一坨 除了考虑畸胎瘤 也好像没有别的选项了啊还有一种囊腺瘤
2018-07-07 20:40:26·福建省 回复
登录后查看全部评论
1
热门推荐
教科书式病例,医生有多想遇见?
医生会帮同行解释吗?
医生如何当好健康“守门人”?
医生的诊疗时间,够用吗?