诊疗助手APP 百万医护都在兼职、学习、交流
立即打开

这是智齿冠周炎吗?

x****1 楼主
+关注
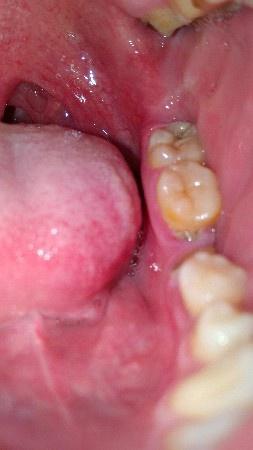
最开始左边牙齿最里面的那一颗有些不舒服,而后牙齿周边发疼,现在最里面的肉都非常疼,动嘴就疼。用药酒点了一下,更疼,舌头舔到好像起褶起
用手机开闪光灯拍了一下牙齿。图一图二,这样是智齿冠周炎吗?
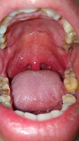
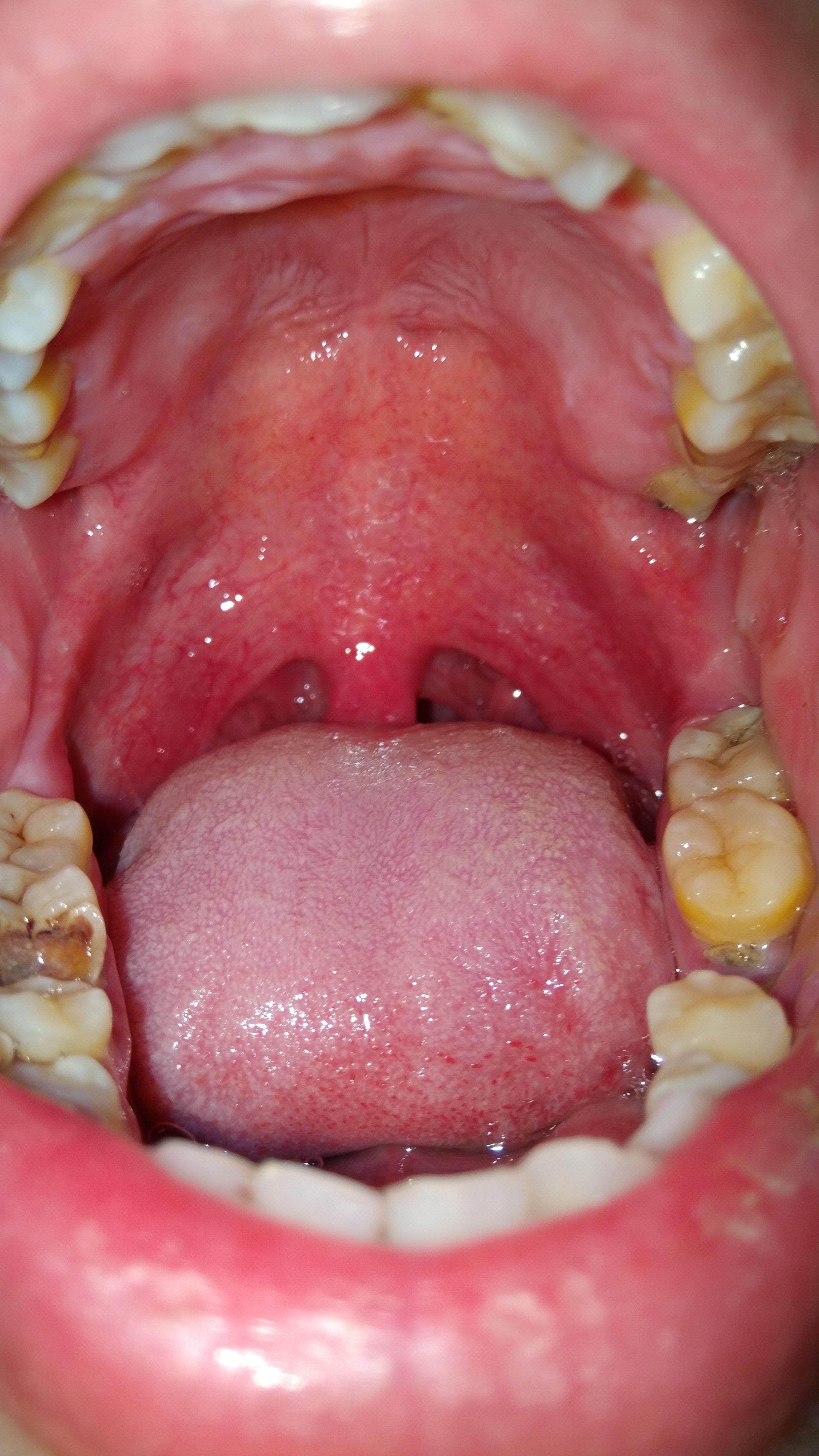
顺便拍了一下全口腔,除了蛀牙,掉牙。牙不齐,牙身还好黄,从前就不注意护理牙齿,感觉好自卑了。。。图片都可以拿去教育孩子了。。。



2018-05-12 03:58:31  6736 浏览
全部评论
y****0 抢首赞
**能拍到这个效果很不错了,手机什么牌子的
2018-05-12 15:26:57·广东省 回复
登录后查看全部评论
1
热门推荐
教科书式病例,医生有多想遇见?
医生会帮同行解释吗?
医生如何当好健康“守门人”?
医生的诊疗时间,够用吗?