诊疗助手APP 百万医护都在兼职、学习、交流
立即打开

超声入门贴792---子宫内膜癌?(病理:内膜增生)

s****i 楼主
+关注
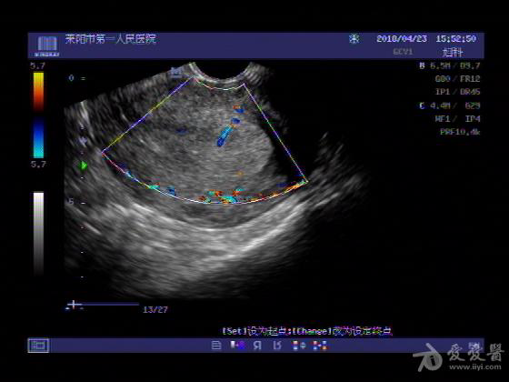
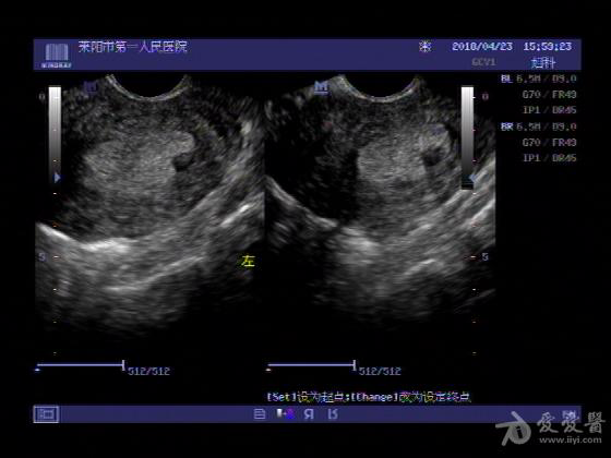
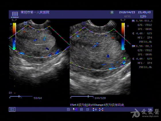
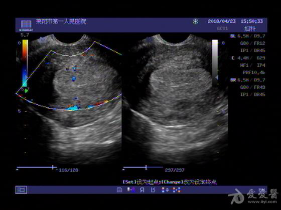
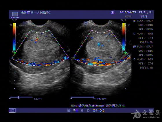
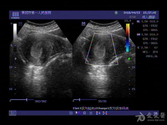
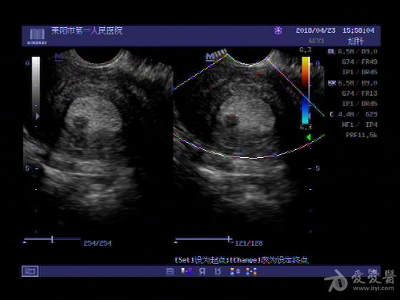
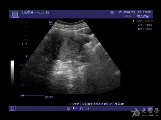
女,48岁,月经量多,两个月,一年前出现过类似现象,刮宫吃药后缓解。
超声可见:子宫内膜显著增厚,后肌壁内膜可见范围约3.27X0.90CM低回声区,CDFI显示较丰富线样血流,宫底宫腔内见类**状低回声结节。前肌壁见多发类圆形低回声结节。
超声提示:子宫内膜增厚(建议刮宫病理),子宫多发肌瘤
病理结果:内膜增生




2018-04-28 14:17:26  3125 浏览
全部评论
抢沙发,发首评,稳占C位! 立即抢沙发
热门推荐
教科书式病例,医生有多想遇见?
医生会帮同行解释吗?
医生如何当好健康“守门人”?
医生的诊疗时间,够用吗?