诊疗助手APP 百万医护都在兼职、学习、交流
立即打开

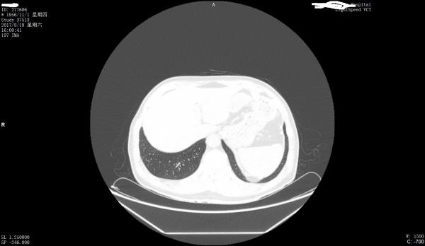
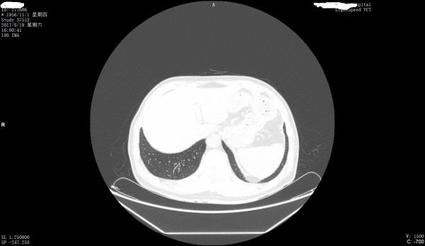
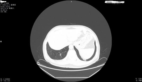
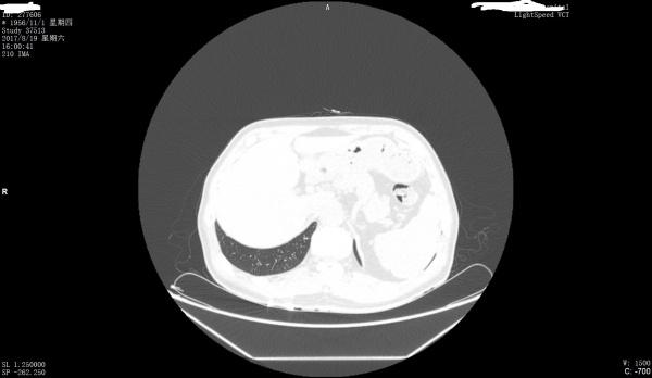
看看是否左膈肌出现胸腹膜裂孔疝

呼* 楼主
+关注
看看是否左膈肌出现胸腹膜裂孔疝









2017-10-13 08:05:50  3094 浏览
全部评论
韩**心 抢首赞
最好把纵膈窗也传一下
2020-01-26 19:57:25·河北省 回复
韩**心 抢首赞
第一上传图片少,第2目前来看只能是疑似。
2019-12-12 20:32:00·河北省 回复
呼* 抢首赞
怎么没人解答我的问题呢?
2018-11-23 15:31:23·内蒙古自治区 回复
登录后查看全部评论
3
热门推荐
教科书式病例,医生有多想遇见?
医生会帮同行解释吗?
医生如何当好健康“守门人”?
医生的诊疗时间,够用吗?