诊疗助手APP 百万医护都在兼职、学习、交流
立即打开

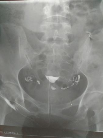
输卵管碘油造影的片子,请帮忙看看,医生意见不一致。

h****3 楼主
+关注
本帖最后由 holly2323 于 2017-8-3 23:26 编辑

[attach]2075106[/attach]
[attach]2075107[/attach]

[attach]2075108[/attach]

[attach]2075109[/attach]

一位认为输卵管通,但弥散不良,另一位认为通而且弥散也正常。请大家赐教。



2017-08-03 14:26:07  3696 浏览
全部评论
u****1 抢首赞
这种情况的不孕不育,多半是骨盆倾斜旋转,宫位不正,宫腔内压迫,包括宫寒,引起的
7天前·重庆市 回复
z****3 抢首赞
很通畅的,图片也很清晰。
2019-02-18 05:05:33·内蒙古自治区 回复
邳**子 抢首赞
通的,两侧都有造影。
2018-02-22 12:32:38·江苏省 回复
登录后查看全部评论
4
热门推荐
教科书式病例,医生有多想遇见?
医生会帮同行解释吗?
医生如何当好健康“守门人”?
医生的诊疗时间,够用吗?