诊疗助手APP 百万医护都在兼职、学习、交流
立即打开

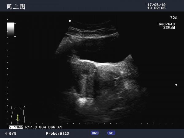
这是巧克力囊肿吗?

入*世 楼主
+关注
患者女,40Y,因下腹部疼痛就诊,最近一次月经来潮量少且疼痛厉害,以往基本上正常。
于月经第11天行B超检查。































请大家指导指导,谢谢!
2017-05-19 20:06:12  2556 浏览
全部评论
林*丽 抢首赞
不是很典型的巧克力囊肿,可以随访复查看看
2017-05-29 17:54:02·河南省 回复
y****7 抢首赞
可定期复查,黄体不除外
2017-05-22 10:58:30·河北省 回复
l****p 抢首赞
关注这是巧克力囊肿吗?
2017-05-21 15:59:56·辽宁省 回复
登录后查看全部评论
3
热门推荐
教科书式病例,医生有多想遇见?
医生会帮同行解释吗?
医生如何当好健康“守门人”?
医生的诊疗时间,够用吗?