诊疗助手APP 百万医护都在兼职、学习、交流
立即打开

左三踝骨折手术治疗

h****g 楼主
+关注
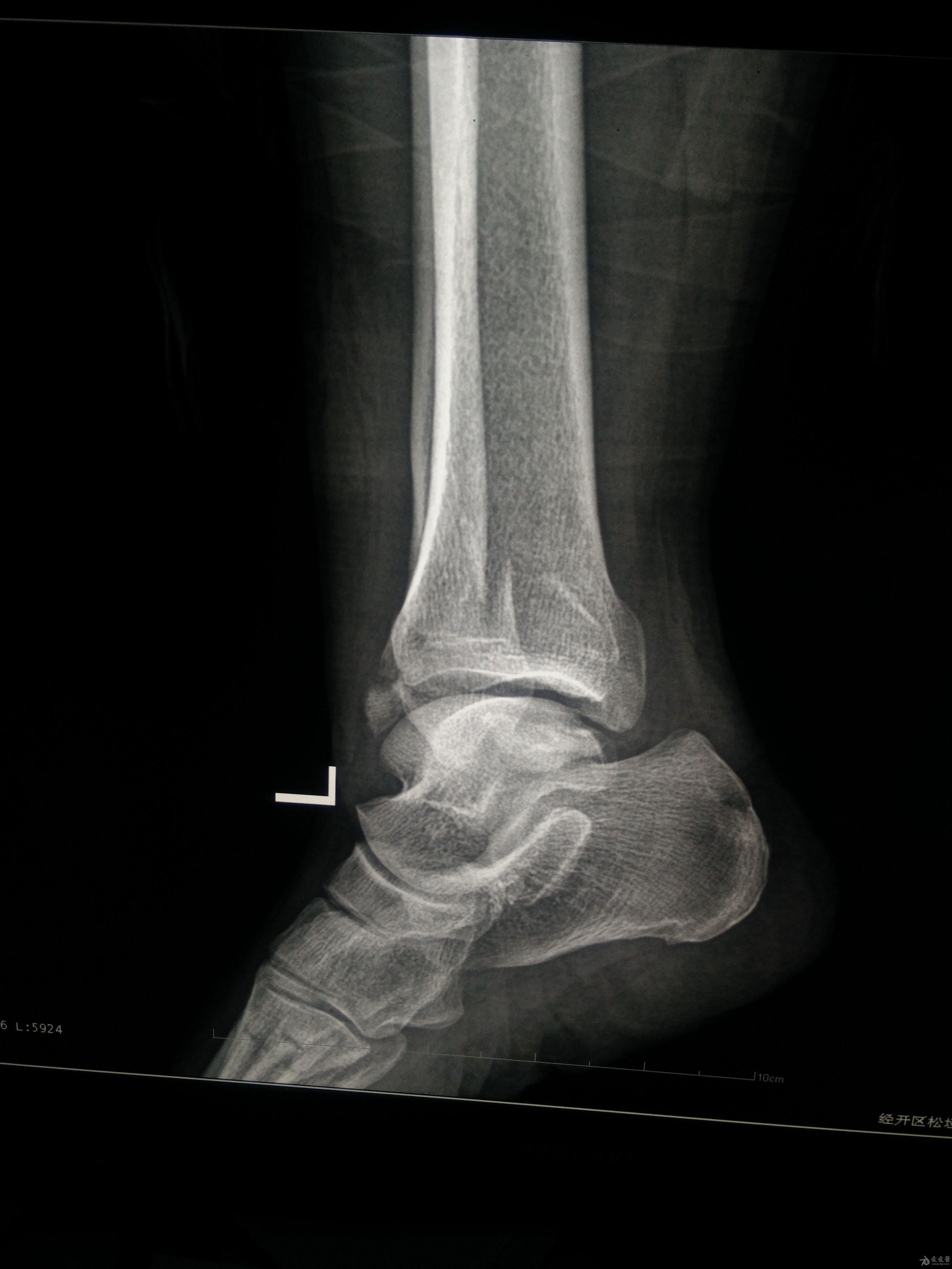
患者女,外伤后左踝关节活动受限1小时入院,
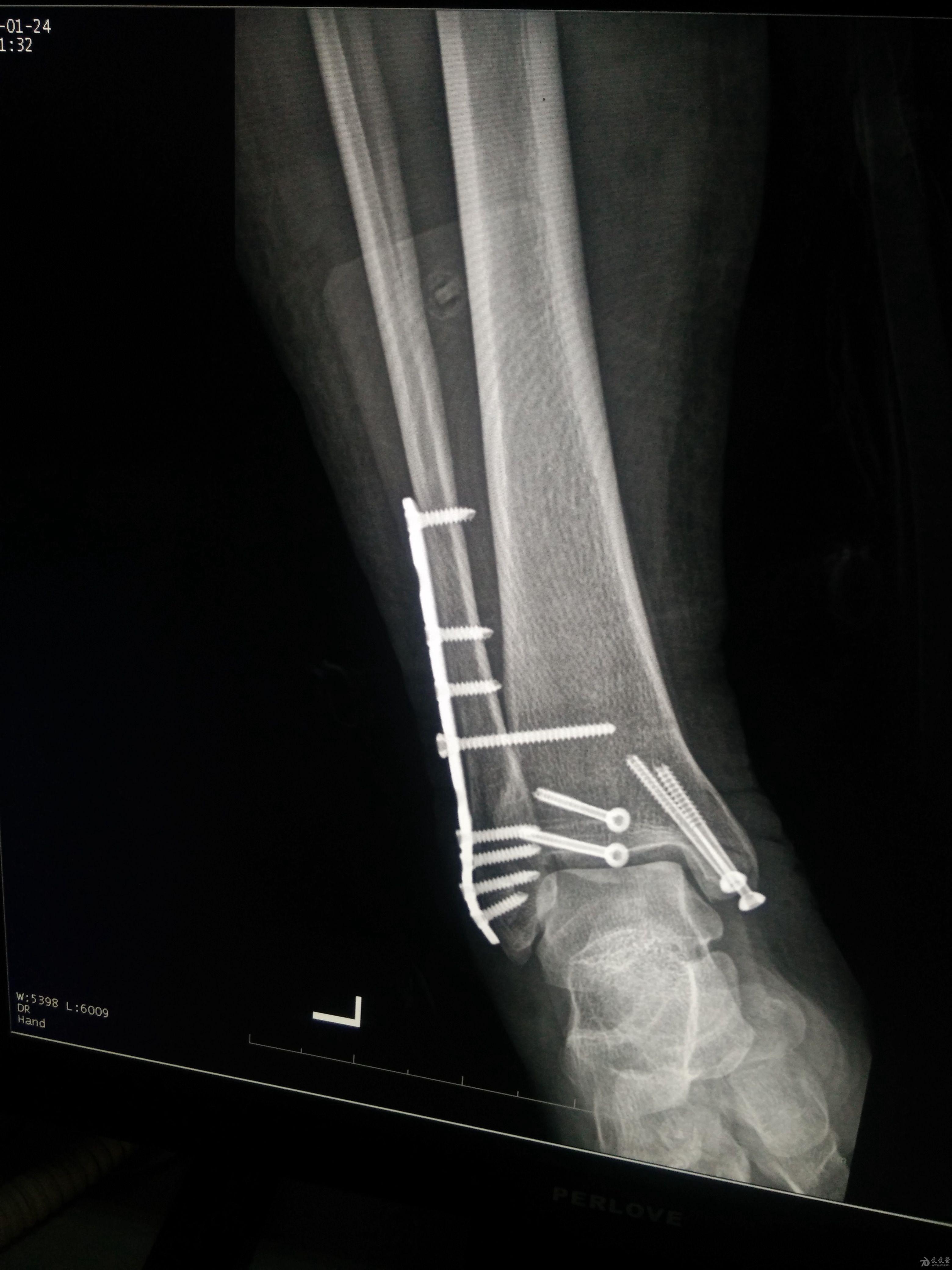
入院后查体:左踝关节肿胀,活动受限,行DR及左踝关节CT检查,如下图,手术待肿胀消退后行手术治疗,目前愈合良好,请问问各位老师,好久可以下地呀, 下胫腓联合镙钉3个月取呀,











2017-03-11 09:53:49  4411 浏览
全部评论
h****n 抢首赞
这个下胫腓螺钉真的没有必要打,另外后踝的两枚螺钉怪怪的,从后往前打的,看着钉子帽偏内侧,这个应该在外侧才对,
2017-03-22 00:13:48·湖南省 回复
l****4 抢首赞
下胫腓联合单钉固定小心断钉
2017-03-12 16:24:57·四川省 回复
石****6 抢首赞
下胫腓拉力钉一般一个月到一个半月取出!下地需骨折愈合情况而定,下地时需拄拐,患肢尽量不负重行走。
2017-03-11 11:27:47·河北省 回复
登录后查看全部评论
3
热门推荐
教科书式病例,医生有多想遇见?
医生会帮同行解释吗?
医生如何当好健康“守门人”?
医生的诊疗时间,够用吗?