诊疗助手APP
百万医护都在兼职、学习、交流
立即打开
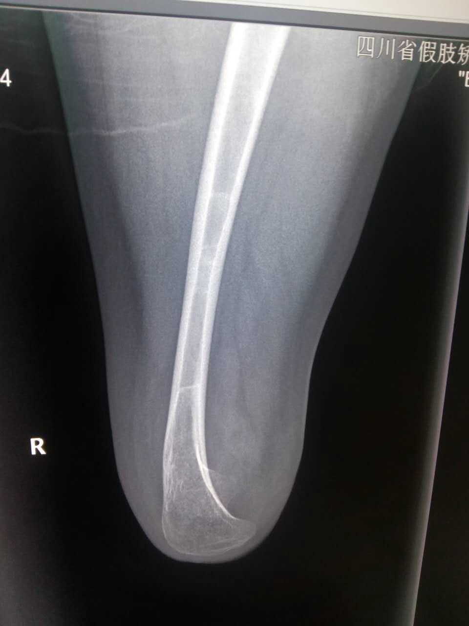
截肢术后残肢改变
m****m
楼主
+关注
截肢二十多年,请各位老师指点一下这张x光片
2016-10-11 23:36:13 2584 浏览
全部评论
G***8
抢首赞
骨髓腔未看到透明线啊,再者多数骨折线会累及骨皮质的,特别是成年人。
2016-11-19 18:12:13
·
广西壮族自治区
回复
芳**大
抢首赞
支持楼上的诊断意见。
2016-11-13 20:27:26
·
江西省
回复
棋**友
抢首赞
右下肢股骨以下部位缺如。股骨未见明显异常。
2016-10-12 08:20:30
·
甘肃省
回复
登录后查看全部评论
5
发送
热门推荐
教科书式病例,医生有多想遇见?
医生会帮同行解释吗?
医生如何当好健康“守门人”?
医生的诊疗时间,够用吗?