诊疗助手APP
百万医护都在兼职、学习、交流
立即打开
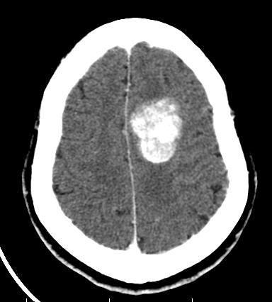
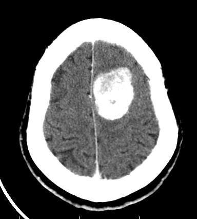
颅脑典型病变CT检查
2****5
楼主
+关注
患者头痛头晕,门诊就诊。
2016-09-26 10:23:46 8705 浏览
全部评论
r****5
抢首赞
脑膜瘤钙化,可以定期复查
2018-04-28 12:34:19
·
河南省
回复
9**阳
抢首赞
钙化型脑膜瘤
2017-04-20 10:50:53
·
河北省
回复
炫***虎
抢首赞
就是脑膜瘤,位置表浅,钙化明显,外形光滑。
2016-10-17 19:46:34
·
山东省
回复
登录后查看全部评论
30
发送
热门推荐
教科书式病例,医生有多想遇见?
医生会帮同行解释吗?
医生如何当好健康“守门人”?
医生的诊疗时间,够用吗?