诊疗助手APP 百万医护都在兼职、学习、交流
立即打开

超声入门贴500:先天性处女膜闭锁(体表图+超声图)

s****i 楼主
+关注
先天性处女膜闭锁
  处女膜闭锁,又称无孔处女膜,是一种不常见的先天性发育缺陷,也是女性生殖道畸形中最易纠治的一种形式。
  临床表现 1.青春期**发育,迟迟未见月经来潮。
  2.周期性下腹胀痛,约每月1次发生于每月的相近日期,持续4~5天,可自行缓解,一次比一次明显,可伴**胀。
  3.1~2年后出现排尿障碍,尿频,排尿不畅,甚至急性尿潴留。可伴便秘
  4.自我检查,分开两大腿,对着镜子,再以两手分开小**,可见向外凸出之处女膜,如鸽蛋大,表面紫色,无孔。
  诊断检查
  1.妇科肛查,可见凸出之处女膜,**有肿块,向直肠膨出,子宫增大,其两侧有囊性肿块。
  2.穿刺检查,在处女膜凸出部,以粗针穿刺,可抽出不凝之褐色血,可确诊。
  病例摘要

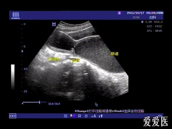
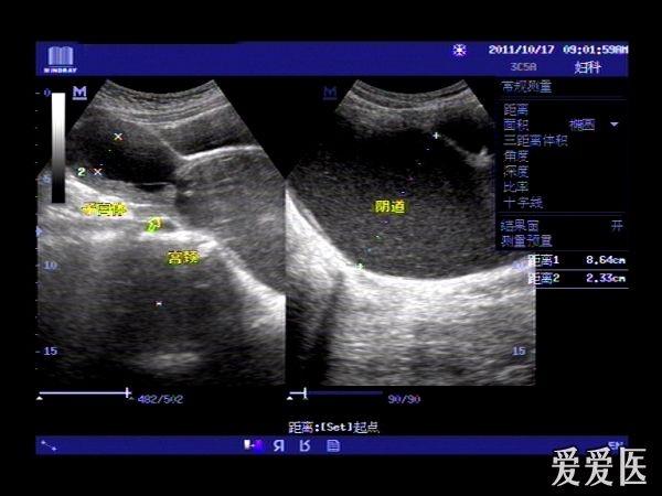
  患者,女,14岁,因周期性下腹部胀痛不适3月余来我院就诊。查体:下腹部可扪及一包块。超声检查膀胱适度充盈,子宫前倾位,宫底部上移至脐平面,宫体宫腔,宫颈及**明显扩张呈椭圆形,内回声不纯净,呈细密的点状回声,宫内膜显示清晰。超声诊断处女膜闭锁




2016-09-02 11:16:37  10978 浏览
全部评论
董****0 抢首赞
学习了,谢谢希望这样的病历多一点
2019-01-20 13:26:48·山西省 回复
s****6 抢首赞
学习了,第一次见这样的案例
2018-06-19 17:02:19·云南省 回复
下***爱 抢首赞
学习了楼主辛苦支持
2017-12-22 17:01:31·湖北省 回复
登录后查看全部评论
26
热门推荐
教科书式病例,医生有多想遇见?
医生会帮同行解释吗?
医生如何当好健康“守门人”?
医生的诊疗时间,够用吗?