诊疗助手APP 百万医护都在兼职、学习、交流
立即打开

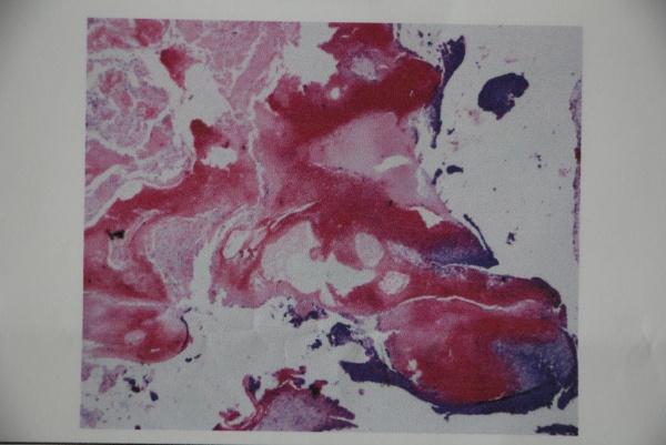
2015年皮肤版有奖病例猜答(36)答案:钙化上皮瘤(毛母质瘤)3人回答准确,已加分。

争**医 楼主
+关注
本帖最后由 争做良医 于 2015-8-6 15:02 编辑

男,25岁。
右肩部肿物2年余。
查:右肩部可见约1.5X1.8cm大红色隆起结节,触之有囊性感,软骨样硬。
辅助检查:皮肤肿物彩超及病理如下。
诊断:?









2015-08-03 14:43:48  8650 浏览
全部评论
想**拟 抢首赞
毛母质瘤,非常经典。跟帖学习。
2015-09-21 21:55:33·江西省 回复
任*中 抢首赞
色素瘤。。。。。。。。。。。
2015-08-13 12:20:43·河南省 回复
争**医 抢首赞
答案:毛母质瘤(钙化上皮瘤)。
2015-08-06 15:02:59·吉林省 回复
登录后查看全部评论
28
热门推荐
教科书式病例,医生有多想遇见?
医生会帮同行解释吗?
医生如何当好健康“守门人”?
医生的诊疗时间,够用吗?