诊疗助手APP
百万医护都在兼职、学习、交流
立即打开
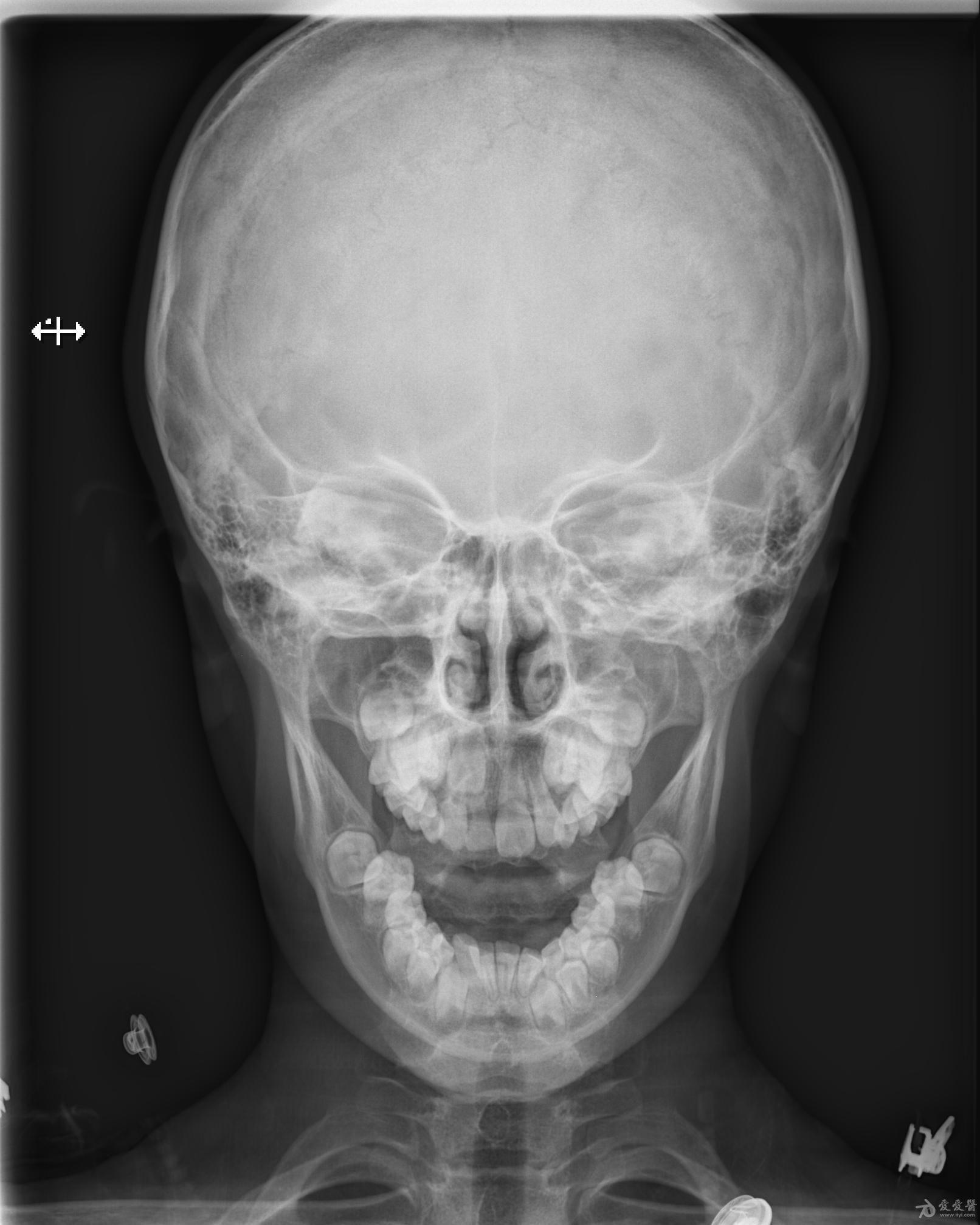
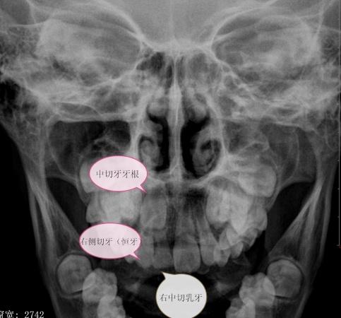
9岁10个月,右侧中切牙乳牙未换,右侧切牙已换
H****3
楼主
+关注
男,9岁10个月,右侧中切牙乳牙未换,右侧切牙已换。牙片显示右中切牙恒牙位置异常,与右侧切牙(恒牙)部分重叠,且右中切牙恒牙牙根稍短小(位置影响?),如何处理?能否矫正?
2015-06-19 11:47:58 4838 浏览
全部评论
p****2
抢首赞
首先拔除乳中切牙,加强咀嚼,2、3个月后重新拍片观察情况。
2015-07-17 12:41:21
·
天津市
回复
最****2
抢首赞
最好拍个**T确定恒牙位置,确定阻生的原因,再做处理!!
2015-06-19 15:14:14
·
河北省
回复
依*儿
:同意楼上的意见,慎重!
回复
g****2
抢首赞
乳牙拔了,,开窗助萌
2015-06-19 12:19:26
·
安徽省
回复
登录后查看全部评论
4
发送
热门推荐
教科书式病例,医生有多想遇见?
医生会帮同行解释吗?
医生如何当好健康“守门人”?
医生的诊疗时间,够用吗?