诊疗助手APP 百万医护都在兼职、学习、交流
立即打开

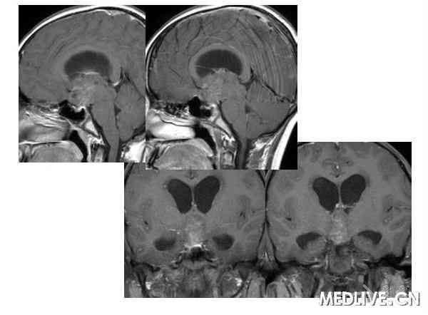
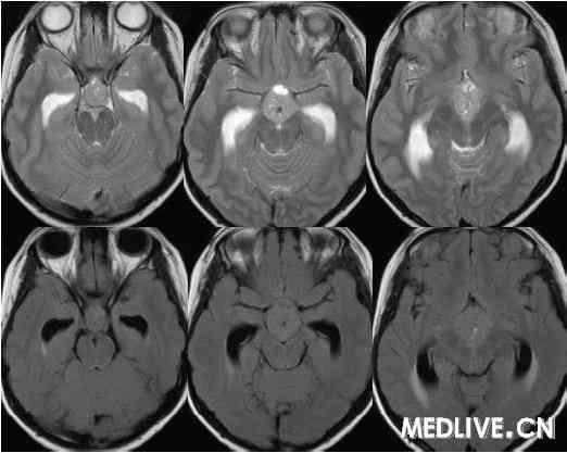
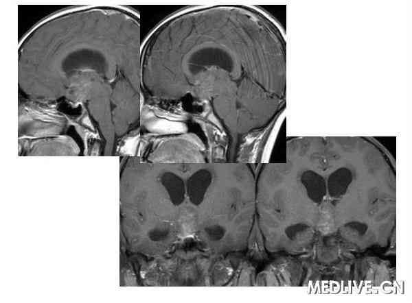
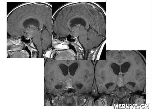
经典病例: 男性,15岁,身材发育迟缓,多饮多尿3年身材矮小

医***M 楼主
+关注
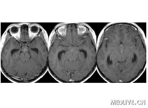
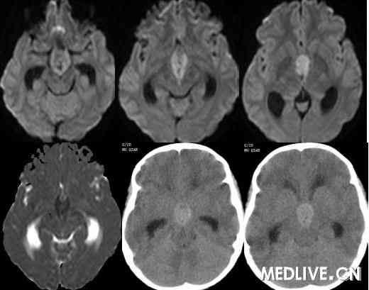
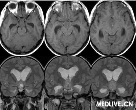
男性,15岁,身材发育迟缓,多饮多尿3年身材矮小 病理症阴性
鞍区生殖细胞瘤临床症状:多饮多尿,视力障碍 身材矮小,性早熟。
鞍区:M:F,1.5-2:1,三室后10:1
好发于青少年,高峰年龄10-12,90%
看图,大家觉得会是什么?





2015-03-19 10:34:34  3119 浏览
全部评论
h****1 抢首赞
鞍区生殖细胞瘤??
2015-03-25 12:20:37·贵州省 回复
岳*杰 抢首赞
来学习一下~谢谢分享
2015-03-23 10:01:54·河南省 回复
医***M 抢首赞
解答详情: 生殖细胞瘤由原始的生殖细胞衍生而来,好发于松果体区,其次为鞍上池。肿瘤多发生于男性青少年,位于鞍上生殖细胞瘤则以女性多见。生殖细胞瘤对放射线非常敏感。该瘤通常无包膜、无钙化、出血、坏死或囊性变,属低度恶性肿瘤,多呈浸润性生长,常有不同程度和形式的转移,易向蛛网膜下腔及脑室系统种植、播散。组织学上,肿瘤主要含有两种细胞成分:上皮样细胞和淋巴样细胞。 1、CT表现:  ①肿瘤最常见于松果体区,位于鞍上区肿块常累及漏斗;  ②CT平扫多呈等密度或稍高密度肿块,无出血、坏死及囊性变,可分叶,但境界清楚;瘤体本身钙化少见,典型松果体区生殖细胞瘤常见肿瘤包埋松果体钙化灶。  ③增强扫描呈中等至明显的均匀强化。  ④室管膜下转移可表现为沿脑室壁线状或条片状强化,沿脑脊液向蛛网膜下腔播散表现为脑表面、脑池的线状或结节状强化。   2、MR表现:  ①最常见于松果体区,也常见于鞍上,可同时或单独存在。②T1加权为略低信号或等信号,T2加权常呈等信号或高信号。③增强后;呈明显均匀一致强化,并能发现沿脑脊液或室管膜转移的病灶。鉴别诊断  1、颅咽管瘤:多为囊性或囊实性肿块,钙化多见。纯实性者可呈稍高密度,并可强化,与生殖细胞瘤不易鉴别、  2、星形细胞瘤:一般肿瘤较大,密度偏低,后期可出血,肿瘤通常位于下丘脑,并沿视交叉或视束延伸,可在眼眶内形成肿块。  3、垂体瘤:发生于鞍内,但可向鞍上生长,小儿罕见,肿瘤易出血、坏死,鞍底骨质变薄、下陷,海绵窦常受累。 生殖细胞瘤。4、脑膜瘤:好发于成人,儿童罕见,肿瘤部位偏前,伴骨质增生、硬化及蝶窦过度气化。
2015-03-23 09:31:54·北京市 回复
登录后查看全部评论
6
热门推荐
教科书式病例,医生有多想遇见?
医生会帮同行解释吗?
医生如何当好健康“守门人”?
医生的诊疗时间,够用吗?