诊疗助手APP 百万医护都在兼职、学习、交流
立即打开

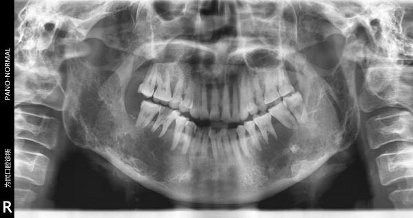
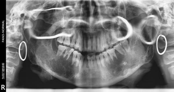
恶性造釉细胞瘤??

万* 楼主
+关注
从医16年第一次遇见如此巨大的下颌骨破坏病例 下颌骨1
下颌骨2
2014-12-17 07:15:58  6278 浏览
全部评论
g****2 抢首赞
不过从片子没看出有锯齿样吸收
2015-03-25 15:46:42·安徽省 回复
岳*杰 抢首赞
学习了。{MOD}!!!!!
2015-03-23 18:17:54·河南省 回复
w****9 抢首赞
不常见的病例啊 范围挺大
2015-03-23 17:45:33·黑龙江省 回复
登录后查看全部评论
10
热门推荐
教科书式病例,医生有多想遇见?
医生会帮同行解释吗?
医生如何当好健康“守门人”?
医生的诊疗时间,够用吗?