诊疗助手APP 百万医护都在兼职、学习、交流
立即打开

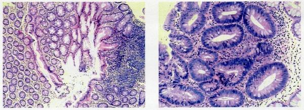
胃镜、肠镜镜下所见与病理切片诊断

D***5 楼主
+关注
本帖最后由 DJM05 于 2014-11-30 10:52 编辑

患者男,61岁,胃肠病史十多年,既往胃肠镜有多发**肉,萎缩性胃炎,肠上皮化生。服用过中西药物众多,两月多前开始右肩疼痛,一个月后转而右侧锁骨疼痛。十天前再行胃肠镜。
胃镜、肠镜镜下所见与病理切片诊断如图所示:

请问该患者是否有消化系统癌变? 胃镜检查所见
胃镜镜下
胃镜病理报告文字
胃镜病理图片
肠镜检查所见
肠镜镜下
肠镜病理报告文字
肠镜病理图片
2014-11-30 10:50:14  7830 浏览
全部评论
l****a 抢首赞
来来来,,,板凳
2018-07-07 11:37:20·上海市 回复
登录后查看全部评论
1
热门推荐
教科书式病例,医生有多想遇见?
医生会帮同行解释吗?
医生如何当好健康“守门人”?
医生的诊疗时间,够用吗?