诊疗助手APP
百万医护都在兼职、学习、交流
立即打开
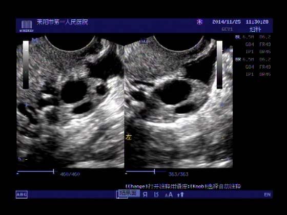
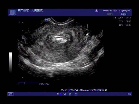
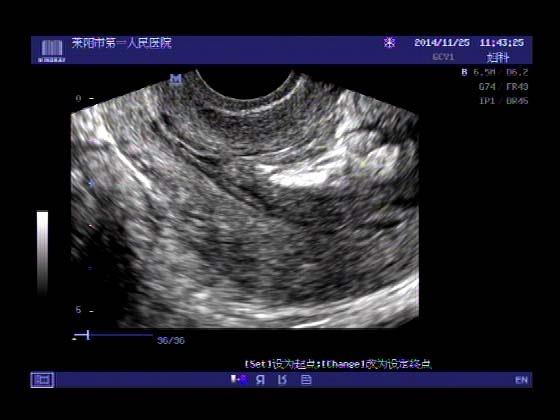
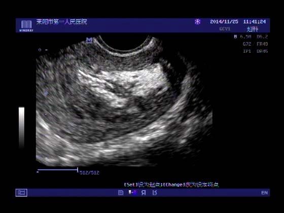
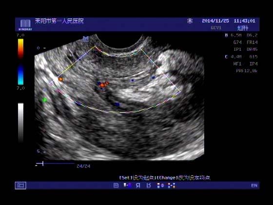
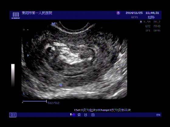
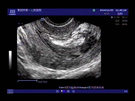
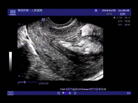
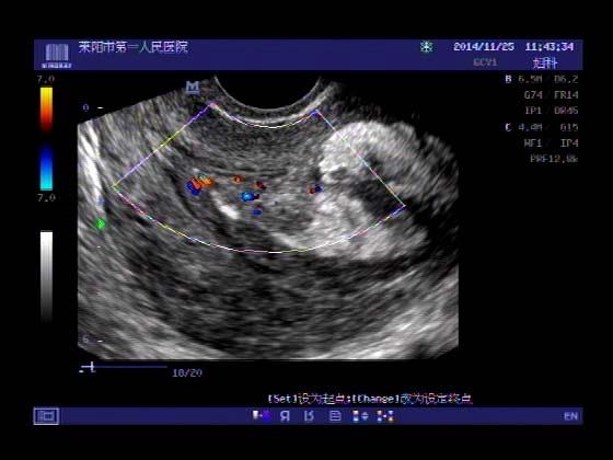
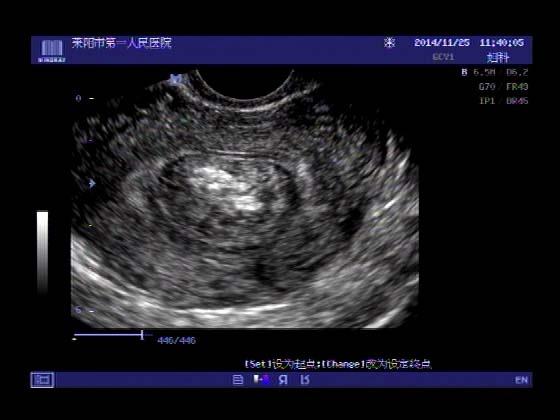
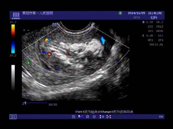
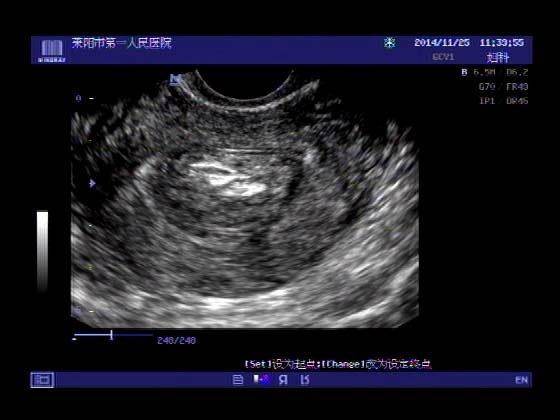
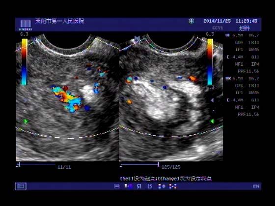
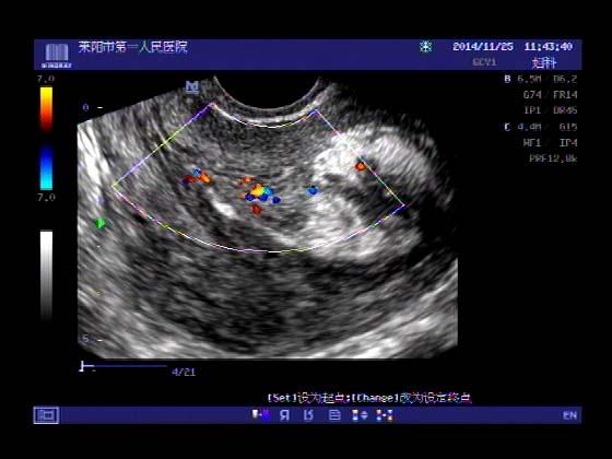
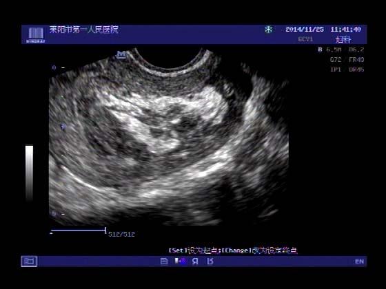
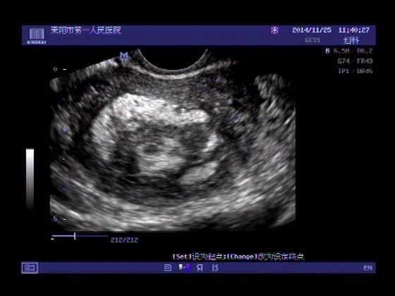
超声入门贴379---------粘膜下肌瘤(阴超的魅力)
s****i
楼主
+关注
本帖最后由 songjunrui 于 2014-11-25 13:34 编辑
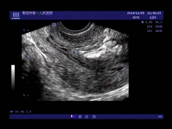
女,43岁,月经量多3个多月,加重一个月
外院彩超检查提示:子宫后肌壁略高回声团------肌瘤?息肉?,盆腔少量积液
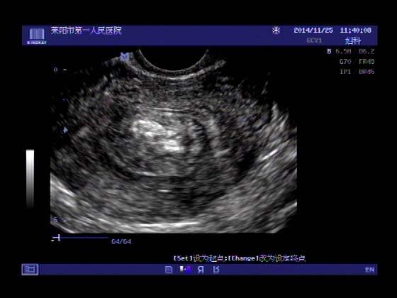
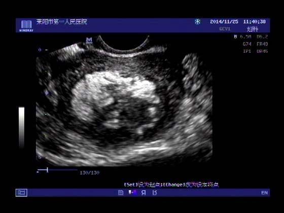
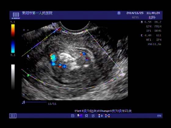
今天来我院检查:
巧妇难为无米之炊,经腹部超声确实很难定,阴超一目了然,乡镇医院诊断水平的提高更迫切的需要高档仪器的引进!
2014-11-25 13:31:38 6899 浏览
全部评论
l****t
抢首赞
{MOD}!!!
2015-10-22 22:16:39
·
河北省
回复
a****4
抢首赞
好贴,值的学习!好学习!
2014-11-28 08:28:45
·
贵州省
回复
登录后查看全部评论
2
发送
热门推荐
教科书式病例,医生有多想遇见?
医生会帮同行解释吗?
医生如何当好健康“守门人”?
医生的诊疗时间,够用吗?