诊疗助手APP 百万医护都在兼职、学习、交流
立即打开

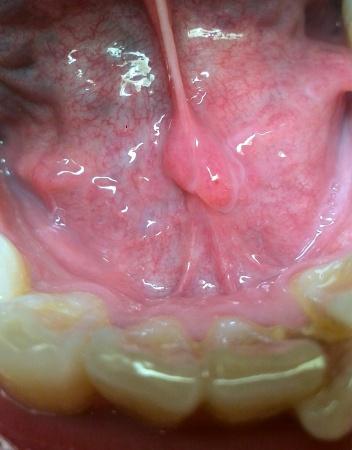
口腔正常组织还是囊肿?

l****5 楼主
+关注
口腔正常组织还是囊肿? 左面舌体上是什么?
口腔正常组织还是囊肿?
2014-10-21 10:16:34  8406 浏览
全部评论
闲*远 抢首赞
应该是正常组织吧。
2014-11-02 10:51:18·四川省 回复
l****5 抢首赞
同问,谢谢!是不是正常组织?
2014-10-23 13:40:32·陕西省 回复
差****子 抢首赞
第一幅图旁边的点装赘生物的是什么?
2014-10-22 13:22:09·四川省 回复
登录后查看全部评论
5
热门推荐
教科书式病例,医生有多想遇见?
医生会帮同行解释吗?
医生如何当好健康“守门人”?
医生的诊疗时间,够用吗?