诊疗助手APP
百万医护都在兼职、学习、交流
立即打开
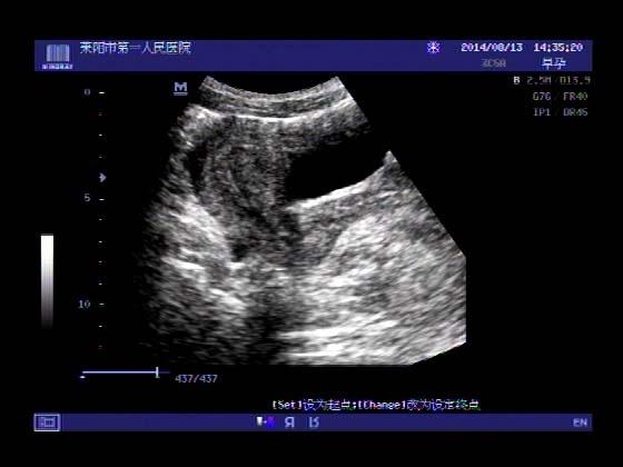
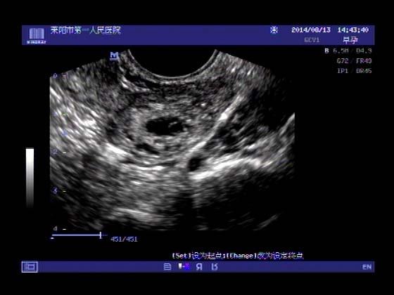
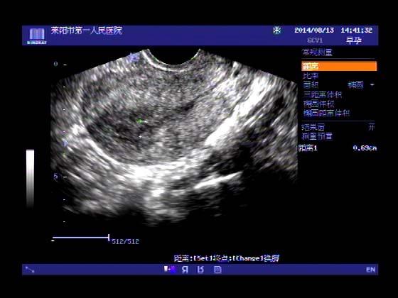
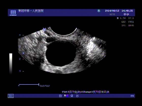
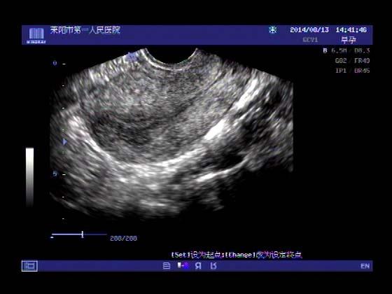
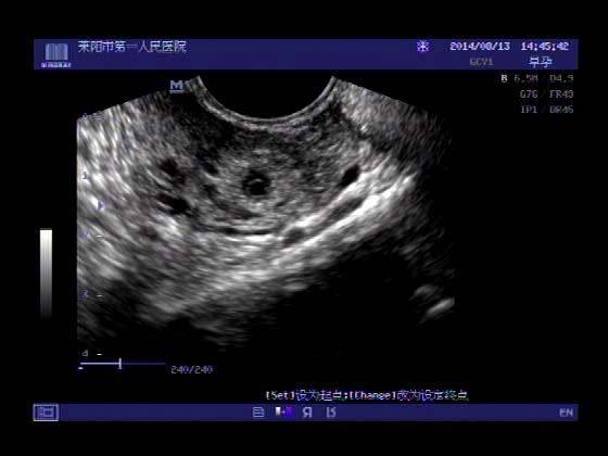
超声入门贴341:宫外孕(阴超的魅力)
s****i
楼主
+关注
女,32岁,停经15天,
一周前在上极医院检查:化验尿HCG阳性,血HCG400多,超声检查问见明显孕囊,让随访。
无腹痛,无**流血。
2014-08-13 15:25:43 5126 浏览
全部评论
夏*柏
抢首赞
很典型,图像不错,阴超的优势!!
2016-05-15 16:53:07
·
湖南省
回复
b****e
抢首赞
看见卵黄囊啦~孕囊型的吧?
2016-05-10 21:06:25
·
江西省
回复
y****4
抢首赞
还能看到卵黄囊,真不错
2015-03-22 18:00:04
·
湖南省
回复
登录后查看全部评论
8
发送
热门推荐
教科书式病例,医生有多想遇见?
医生会帮同行解释吗?
医生如何当好健康“守门人”?
医生的诊疗时间,够用吗?