诊疗助手APP
百万医护都在兼职、学习、交流
立即打开
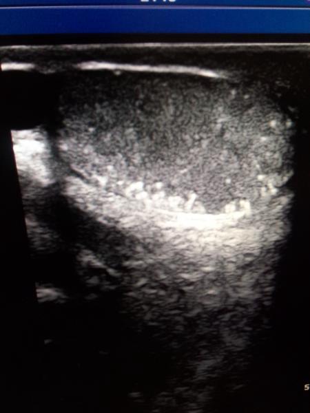
患男14岁,双侧睾丸弥漫性钙化。
莉*成
楼主
+关注
患男14岁,双侧睾丸弥漫性钙化,右侧副睾头囊肿,这是个什么意思?
2014-07-06 08:51:31 4708 浏览
全部评论
m****i
抢首赞
睾丸微结石
2015-02-12 15:15:44
·
河北省
回复
i***b
抢首赞
之前是不是得过腮腺炎呢,有的得过腮腺炎后会这样,会不育的
2014-07-08 14:18:31
·
黑龙江省
回复
韵*
抢首赞
我见过两例患者,一个是不孕来检查发现的,一个是外生殖器不发育来查发现的
2014-07-07 16:11:43
·
河南省
回复
登录后查看全部评论
7
发送
热门推荐
教科书式病例,医生有多想遇见?
医生会帮同行解释吗?
医生如何当好健康“守门人”?
医生的诊疗时间,够用吗?