诊疗助手APP 百万医护都在兼职、学习、交流
立即打开

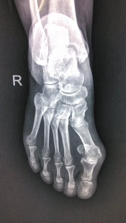
请帮看下足X光片。请指教。谢谢

b****s 楼主
+关注
患者女性47岁,近期没有任何足外伤史(反复询问),于2个月前无诱因出现又足背部疼痛,走路时间长疼痛加重。请帮忙看下这个X光片有什么问题。 侧位看的不清楚
正位掌骨。
2014-06-01 22:34:22  8728 浏览
全部评论
h****n 抢首赞
我和大家考虑一样,拇外翻肯定是有的。
2014-10-24 22:02:30·河北省 回复
s****l 抢首赞
拇趾外翻,足舟骨那个裂隙不是问题经常见,应该是投照较多问题,可以透视下变换**观察下
2014-10-23 19:49:32·山东省 回复
y****n 抢首赞
第一跖趾关节滑膜炎,第一跖骨头可见圆形低密度改变,不排除通风骨质改变。
2014-06-10 16:28:41·广东省 回复
登录后查看全部评论
15
热门推荐
教科书式病例,医生有多想遇见?
医生会帮同行解释吗?
医生如何当好健康“守门人”?
医生的诊疗时间,够用吗?