诊疗助手APP
百万医护都在兼职、学习、交流
立即打开
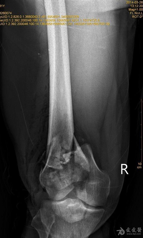
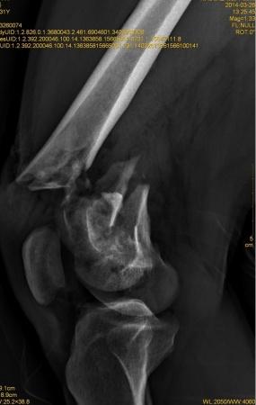
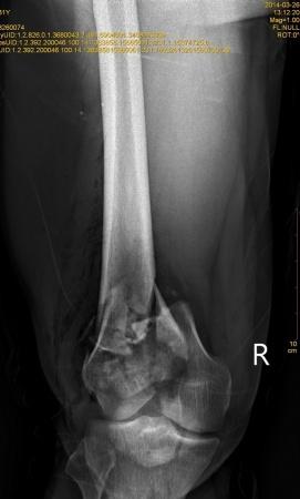
右股骨远端开放性粉碎性骨折
h****o
楼主
+关注
患者XXX,男,31岁,农民。高空跌伤致右大腿畸形伴活动性出血1小时入院。患者一般情况可,体重80kg。完善相关辅检,入院诊断:1.右股骨远端开放性粉碎性骨折;2.右髌骨粉碎性骨折;3.右桡骨远端骨折。入院后行右股骨开放性骨折清创缝合术+右胫骨结节骨牵引术,布朗支架抬高制动,目前患者右大腿远端肿胀明显,给予抗感染,消肿止痛等对症支持治疗。 2014-3-19,爱爱医***里mimi98发了类似的帖子,我刚好也遇到了同样的病例,诚心向各位老师、战友寻求好的治疗方案。
2014-03-27 23:37:45 7756 浏览
热门推荐