诊疗助手APP 百万医护都在兼职、学习、交流
立即打开

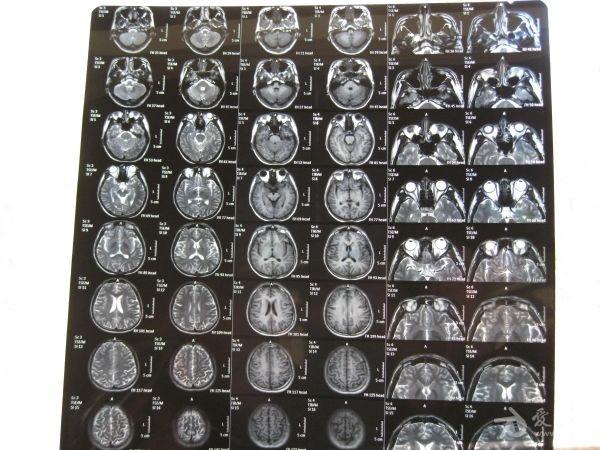
帮忙看一下头颅MRI

诺****0 楼主
+关注
脑外伤后近两年,一直感觉不适,行MRI检查。

将头颅平扫+头颅增强+眼眶平扫+眼眶增强的MRI拍照后发上来了,请大家帮忙阅片。看一下是否有颅内软化灶、眼部病变及颈动脉海绵窦瘘CCF表现?另外,帮忙看一下上鼻道及筛窦内线样长T2信号影为何物?是不是脑脊液鼻漏?(影像报告上说不排外脑脊液鼻漏可能)。

2014-01-28 17:01:48  3136 浏览
全部评论
诺****0 抢首赞
怎么没有人帮看啊,帮帮忙吧诸位专家。
2014-02-16 18:03:42·云南省 回复
诺****0 抢首赞
没人发表意见吗?
2014-02-02 19:03:49·云南省 回复
登录后查看全部评论
2
热门推荐
教科书式病例,医生有多想遇见?
医生会帮同行解释吗?
医生如何当好健康“守门人”?
医生的诊疗时间,够用吗?