诊疗助手APP
百万医护都在兼职、学习、交流
立即打开
学生诊断的胎儿内脏外翻
j****t
楼主
+关注
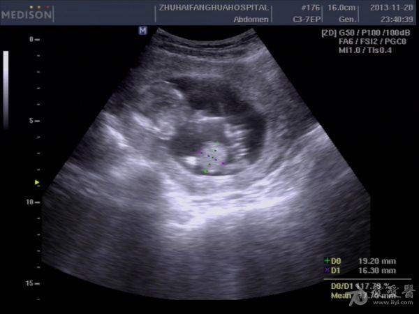
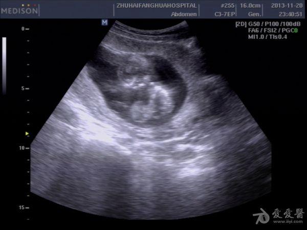
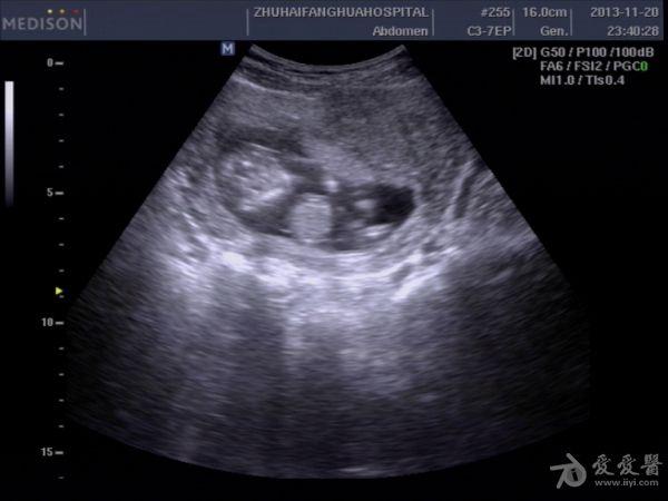
13周孕,24岁,初孕 因腹痛急诊***检查,是当天早上3点钟,医生提的黑白超,学生胆挺大的,超声图像如下:



学生直接诊断胎儿内脏外翻,上班后复查图像觉得问题不大,但还是被学生的胆大吓了一跳。这孩子连孕妇的联系方式都没留,人就放走了,今天终于联系上了孕妇,结果在市产院做的引产,结果同上。学生对我说,本来想诊断脐膨出的,觉得不像,还是像内脏外翻多些,大家说说,这孩子是该批评呢,还是该鼓励。我都有点哭笑不得了。
2013-11-30 19:14:14 10310 浏览
热门推荐