葡萄胎 7天的超声变化
m****8
楼主
+关注
停经40天HCG(+) 我院B超:子宫大小56x48x61mm,宫内探及一大小9x4mm暗区,形态不规则,边缘不规整,内未见胚芽及胎心搏动。

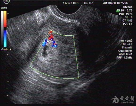
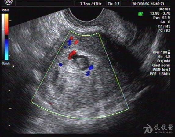
停经47天血HCG大于1万,未稀释 我院B超:子宫大小57x55x61mm,宫内探及一大小约34x27x43mm强回声团块,内回声紊乱,夹杂多个不规则暗区,暗区内未见胚芽及胎心搏动。


该病人子宫增大不明显,无腹痛流血。
手术病检证实:葡萄胎
更多葡萄胎相关知识请关注专题:多病例研讨葡萄胎
2013-11-18 15:52:18 6544 浏览