诊疗助手APP
百万医护都在兼职、学习、交流
立即打开
胎儿胸腹腔积液,巨大胎盘。
j****t
楼主
+关注
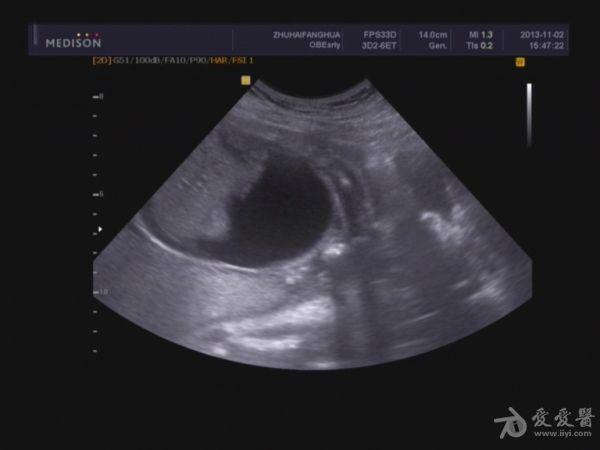
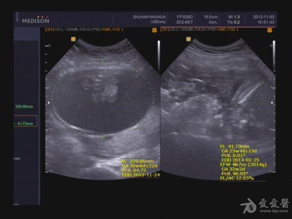
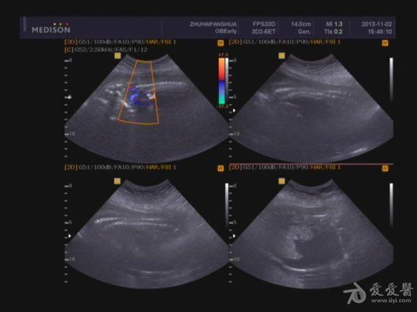
本帖最后由 jlslst 于 2013-11-2 21:06 编辑 女 25岁,中期孕胎儿产前超声筛查,超声所见:BPD:53mm(22w+1d), H C:212mm(23w+2d),A C:329mm, F L:38mm(23w+0d),HUM:不清,AFD:14mm,AFI:38mm,
胎儿生物指标评分:
心跳:有,胎心律:148bpm,张力:有,活动:有,羊水:少,呼吸:未见。
胎儿超声结构描述:
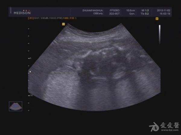
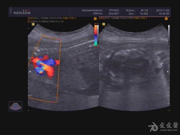
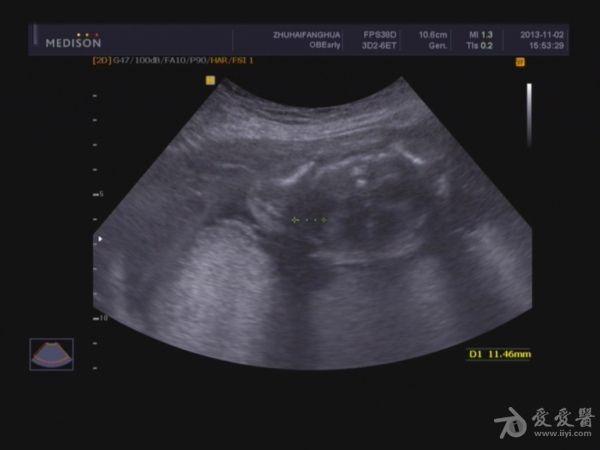
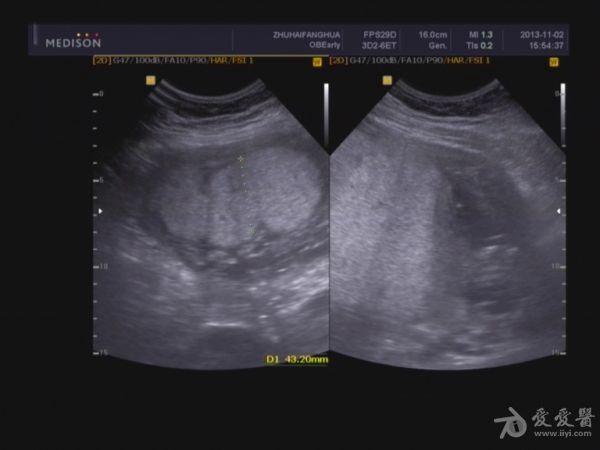
单胎妊娠;臀位,颅骨环基本完整,脑中线居中,CER: 24mm,CM:不清,双侧丘脑可见,侧脑室未见明显扩张,小脑可显示欠清,胎儿颈项部欠清,胎儿颜面显示不清,胸腔增大内见积液,腹壁完整,肝、可见,腹腔内大量积液,最大径约:71mm,胸腔内积液最大径:11.4mm,胃及膀胱显示不清。双肾显示不清。双侧四肢长骨显示欠清。
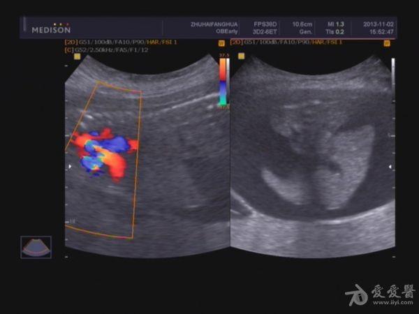
胎盘:附着于子宫后壁,厚度44mm,成熟度:0级,范围面积大,几乎覆着全后壁。
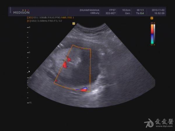
脐带:结构正常,脐动脉血流参数:SPV:33cm/s,PI:1.0,RI:0.62,S/D:2.6。典型图片如下:












诊断意见: 1.宫内中期孕,单胎,胎儿存活,
(根据头围及股骨超声孕周约:22w+3d、胎儿体重约:1256g±)
2.胎儿畸形,胸、腹腔大量积液,
3.超大胎盘,羊水少。
因为羊水少,很多部位观察不清,四维图片基本没意义。期待几天后引产看结果。
2013-11-02 21:05:13 9249 浏览
热门推荐