诊疗助手APP
百万医护都在兼职、学习、交流
立即打开
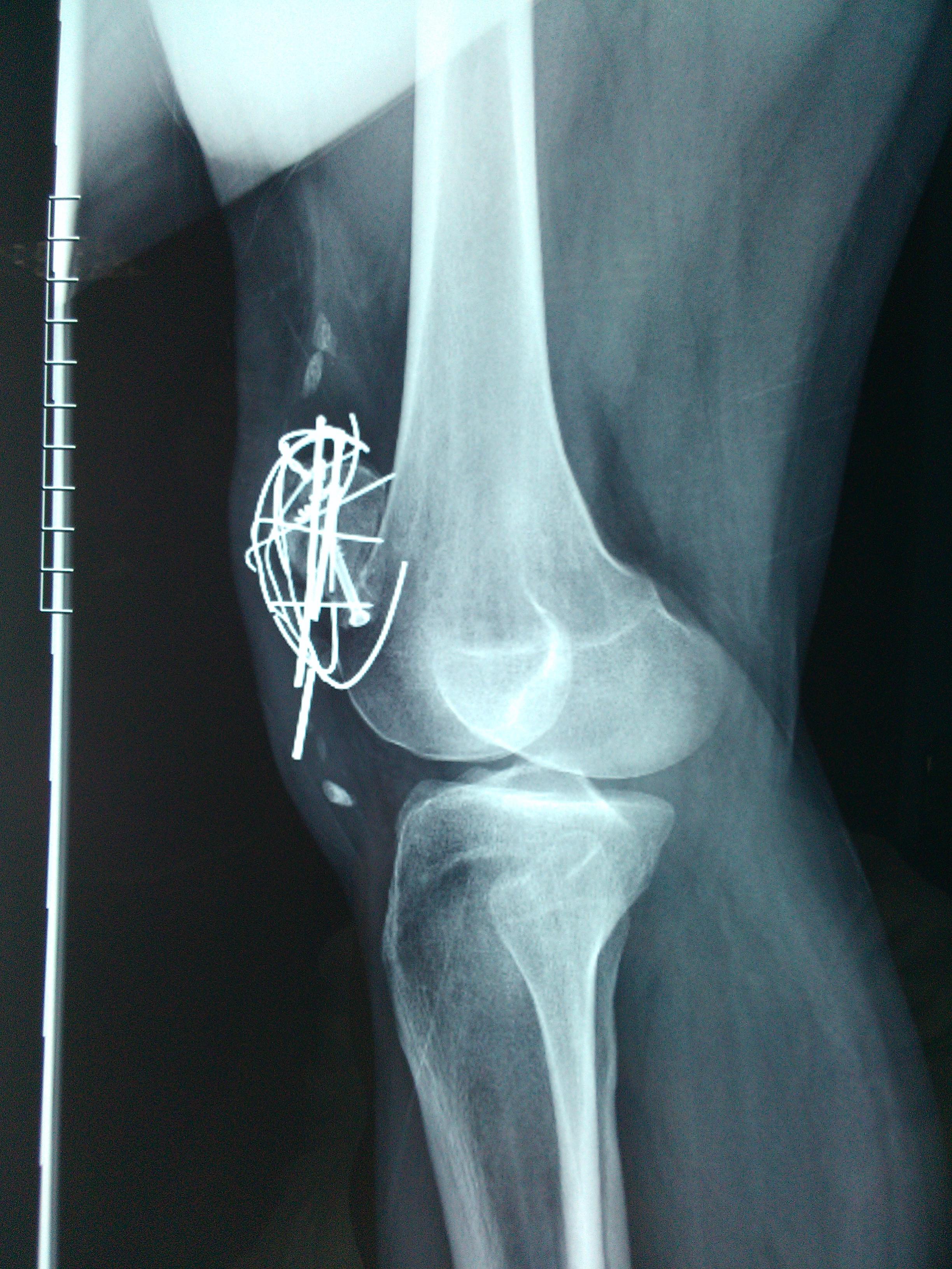
这例内固定可以取出吗
h****y
楼主
+关注
患者男性,34岁,左髌骨粉碎型骨折术后2年余。今日来诊诉局部轻微外伤后疼痛。查体:髌骨下缘钢钉有触痛,(但当时手术医生嘱咐:“无需内固定取出”……)请问各位专家同道:可以剪断髌骨下缘疼痛的钢钉吗?
2013-10-21 21:43:07 15590 浏览
全部评论
m****r
抢首赞
内固定还是要去除的,后期可行关节镜探查
2026-01-29 12:39:46
·
上海市
回复
学**识
抢首赞
髌骨内固定术后,部分内固定物断裂,不知道膝关节活动的怎么样,如果可以的话,还是建议取出全部的内固定物,但是术前一定要告知手术创伤较大,也可能部分内固定物无法取出。
2014-02-05 16:32:54
·
湖北省
回复
g****n
抢首赞
必须取出,赶紧的
2014-02-05 09:17:33
·
河南省
回复
登录后查看全部评论
65
发送
热门推荐
教科书式病例,医生有多想遇见?
医生会帮同行解释吗?
医生如何当好健康“守门人”?
医生的诊疗时间,够用吗?