诊疗助手APP
百万医护都在兼职、学习、交流
立即打开
胎儿左肾积水
雪**吻
楼主
+关注
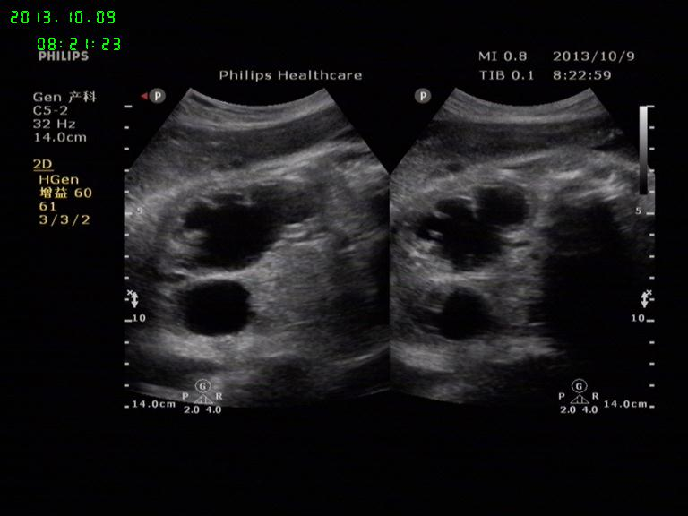
孕38周胎儿,左肾积水,右肾大小形态正常,羊水量AFI:20.5cm
2013-10-09 17:28:44 2826 浏览
全部评论
a****y
抢首赞
右肾积水好多,曾经见过一例,产后1周做尿路造影考虑是重复肾
2013-10-10 14:56:08
·
河北省
回复
c****3
抢首赞
不错,学习了!怎么打出胎儿肾标准切面
2013-10-09 23:45:21
·
广东省
回复
雪**吻
:
回复
雪**吻
抢首赞
不好意思,第二张标记错了。
2013-10-09 17:30:48
·
河北省
回复
登录后查看全部评论
4
发送
热门推荐
教科书式病例,医生有多想遇见?
医生会帮同行解释吗?
医生如何当好健康“守门人”?
医生的诊疗时间,够用吗?