诊疗助手APP 百万医护都在兼职、学习、交流
立即打开

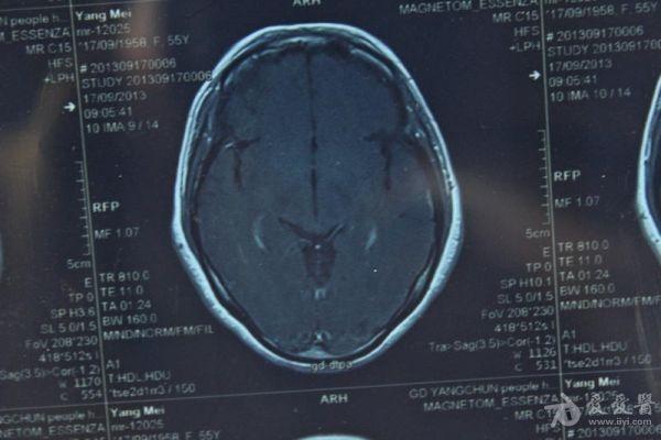
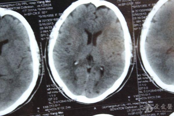
脑部占位病变CT,MRI图片,请帮忙诊断

c****m 楼主
+关注
最近感图样,无其它脑病病史














































































2013-09-20 17:28:40  4871 浏览
全部评论
R****3 抢首赞
考虑脑膜瘤!!
2013-11-03 12:05:45·贵州省 回复
c****6 抢首赞
磁共振没有平扫,增强矢状位没找到病灶。像脑膜瘤。
2013-09-22 23:24:38·河南省 回复
k****i 抢首赞
图片不是很清楚,应该是脑膜瘤!
2013-09-20 23:08:36·陕西省 回复
登录后查看全部评论
4
热门推荐
教科书式病例,医生有多想遇见?
医生会帮同行解释吗?
医生如何当好健康“守门人”?
医生的诊疗时间,够用吗?