诊疗助手APP
百万医护都在兼职、学习、交流
立即打开
请各位前辈帮我看一下这张片子
G****L
楼主
+关注
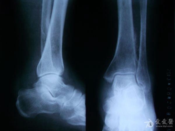
男性,56岁,左小腿静脉曲张十多年了吧,好像做过手术。现在他的整条左小腿肿胀,皮肤发黑,靠近外踝的皮肤出现溃疡。片子不太清楚,因为是基层,条件艰苦没CR。请各位前辈指点下,该患者的左胫、腓骨是什么状况,应该怎样发报告?谢谢!
2013-08-20 20:41:43 2299 浏览
全部评论
G****L
抢首赞
后来我查了些书和资料,但不晓得这种改变在书上的哪类疾病中有描述。我当时报告发的是慢性骨髓炎可疑,觉得不妥。非常感谢楼上的两位。谢谢!
2013-08-22 21:01:40
·
江西省
回复
n****8
抢首赞
患者有静脉曲张的病史,现在小腿的肌肉和皮肤都出现缺血坏死的症状;而胫腓骨X光片示胫腓骨下段向对面骨皮质增生模糊,有明显的骨膜反应;也还是考虑骨质长期缺血缺氧所致,类似肺癌所致骨皮质增生的改变。当然,骨髓炎和骨肉瘤等来源骨质本身的疾病不能完全排除。
2013-08-21 18:54:45
·
广东省
回复
l****u
抢首赞
胫腓骨下段骨皮质模糊,出现葱皮样骨膜反应,骨髓腔稍狭窄,软组织情况不清。考虑急性骨髓炎可能,为排除骨肉瘤,建议CT。
2013-08-21 11:28:26
·
湖北省
回复
登录后查看全部评论
3
发送
热门推荐
教科书式病例,医生有多想遇见?
医生会帮同行解释吗?
医生如何当好健康“守门人”?
医生的诊疗时间,够用吗?