诊疗助手APP
百万医护都在兼职、学习、交流
立即打开
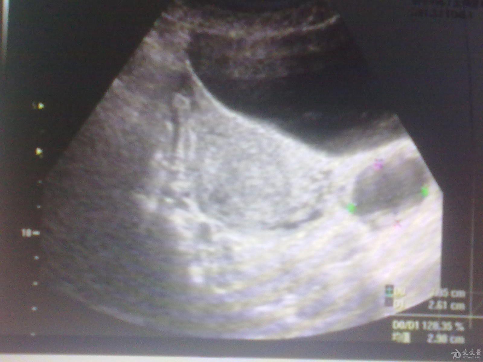
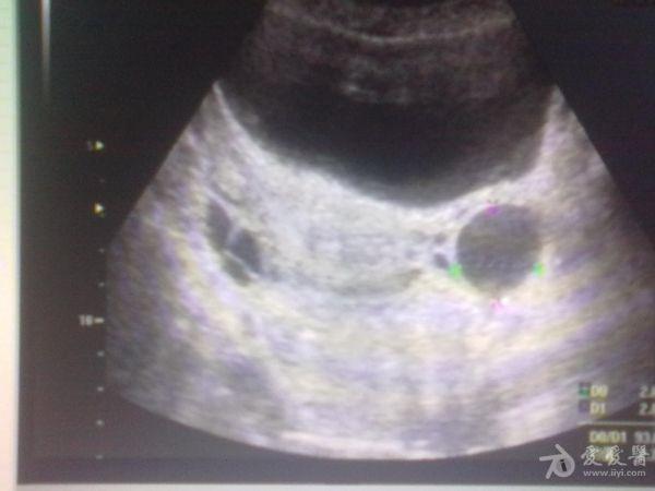
左侧卵巢囊肿?
Z****2
楼主
+关注
39岁女性继发性
不孕
,月经第12天
超声
检查:左侧附件区见大小约3.6x2.7cm类圆形无回声,边界清,内透声好,右侧卵巢建多个大小不等极不规则囊泡回声,最大约1.2x1.4cm。这几幅图探头标记都在患者的右侧,也就是标记冲向我。,,显示器上的M标记在显示器的左上方。囊肿是在左侧卵巢吗?
2013-04-23 18:10:08 4636 浏览
全部评论
俯***间
抢首赞
左侧卵巢囊肿由于是月经第十二天,可能系卵泡(随月经周期会有变化)右侧小卵泡
2017-01-24 11:16:33
·
广东省
回复
李*
抢首赞
多系生理性,随访下就是。
2017-01-13 09:41:44
·
四川省
回复
j****1
抢首赞
请问右卵巢上那些无回声区是什么,是正常的吗,还是囊肿呢,谢谢
2017-01-12 15:41:22
·
黑龙江省
回复
登录后查看全部评论
10
发送
热门推荐
教科书式病例,医生有多想遇见?
医生会帮同行解释吗?
医生如何当好健康“守门人”?
医生的诊疗时间,够用吗?