诊疗助手APP 百万医护都在兼职、学习、交流
立即打开

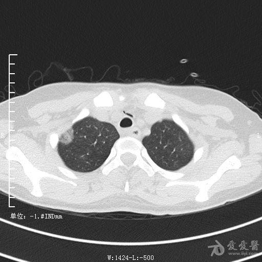
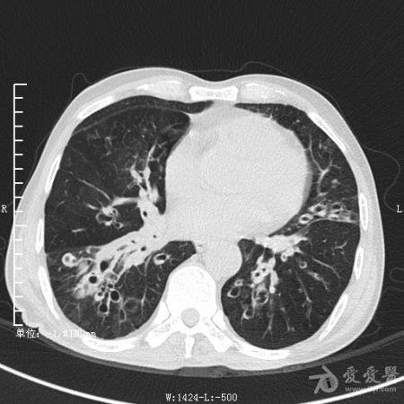
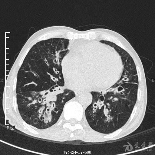
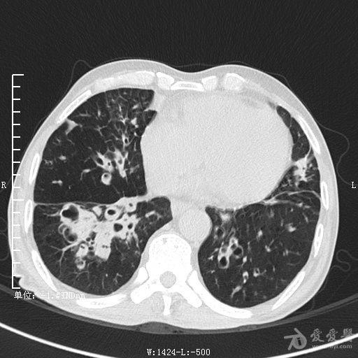
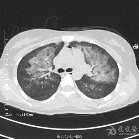
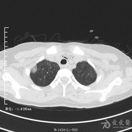
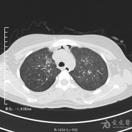
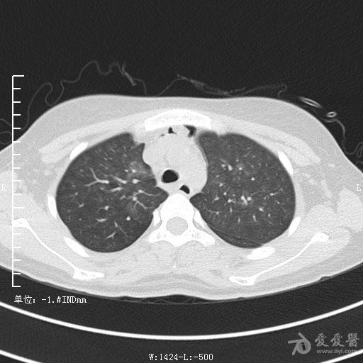
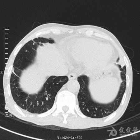
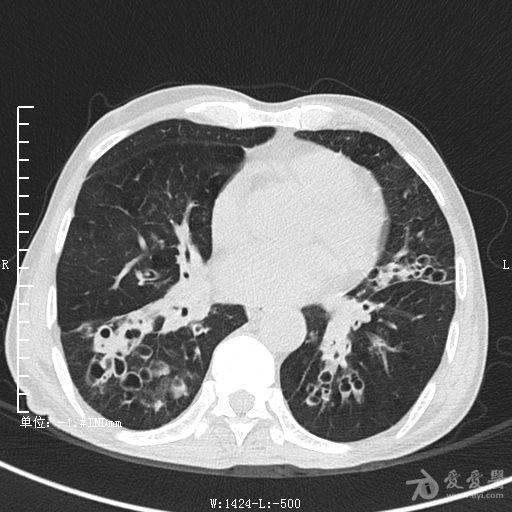
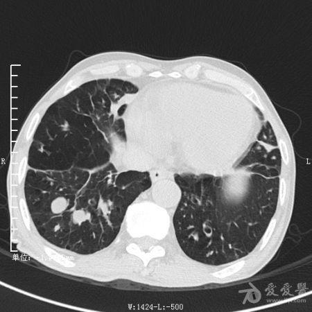
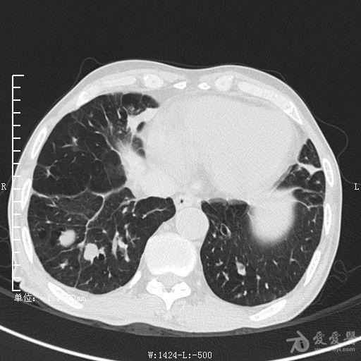
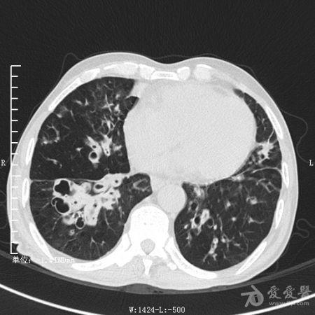
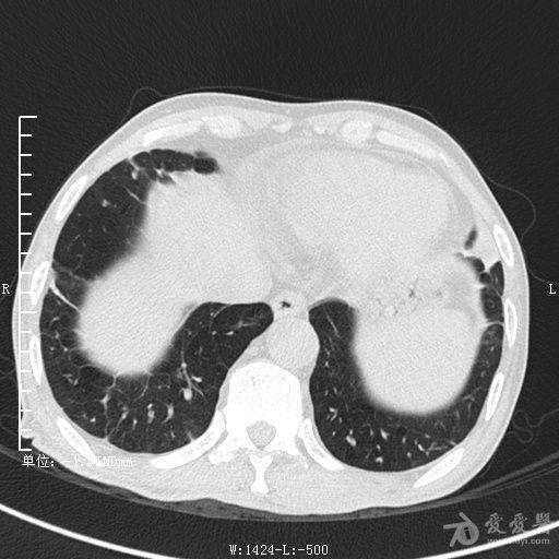
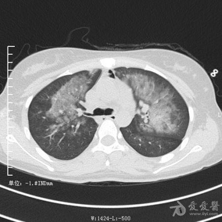
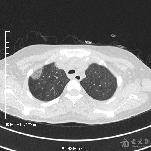
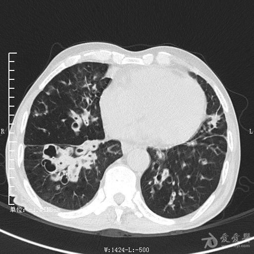
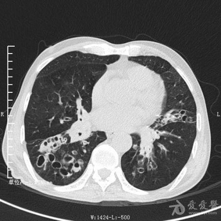
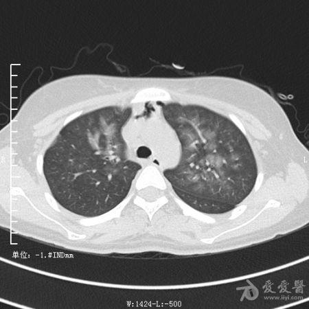
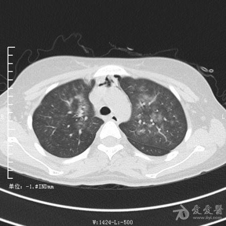
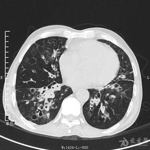
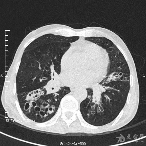
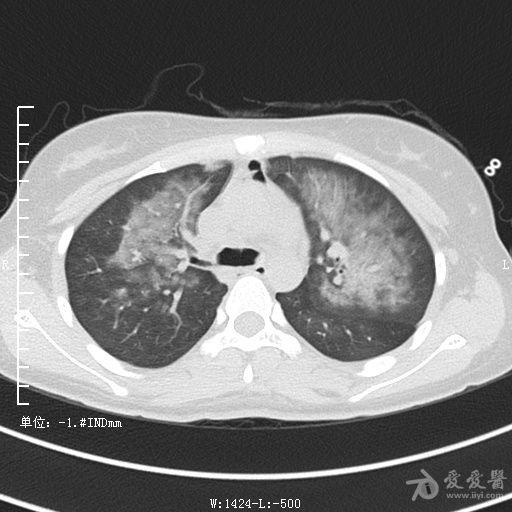
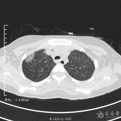
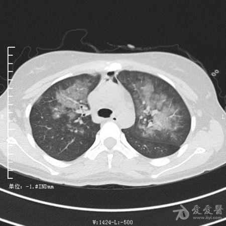
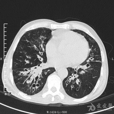
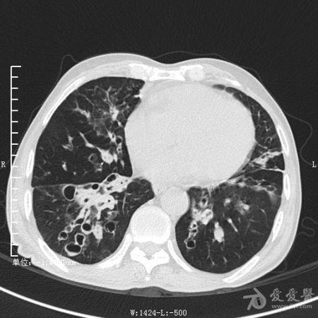
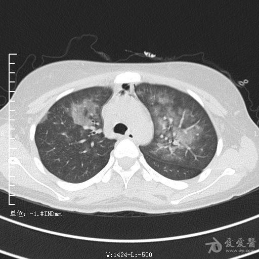
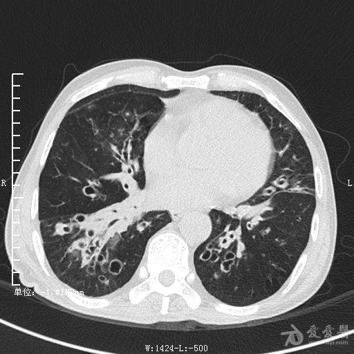
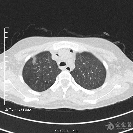
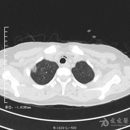
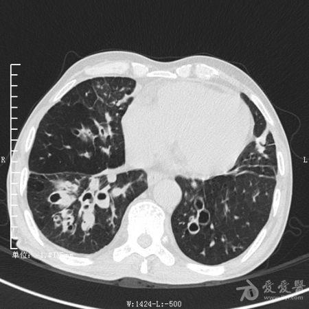
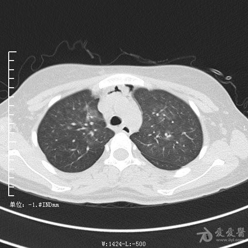
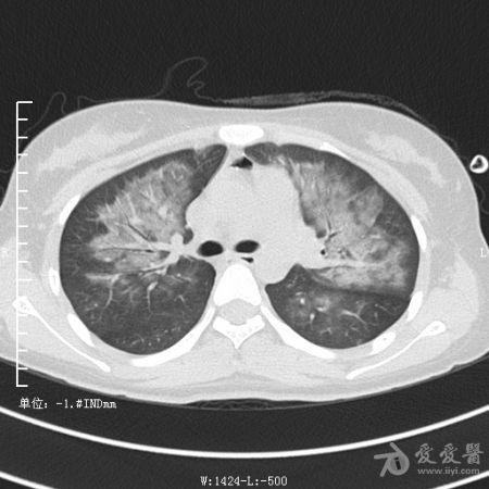
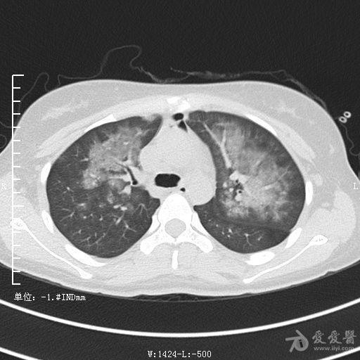
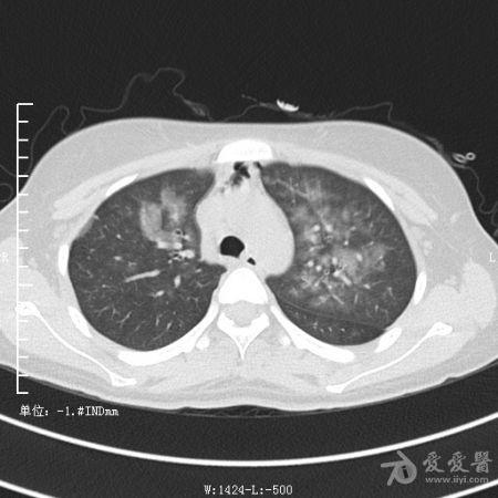
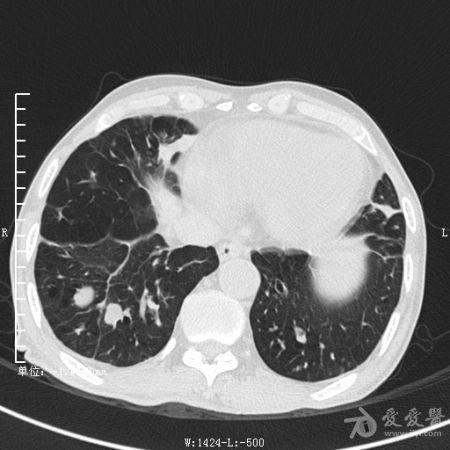
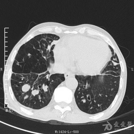
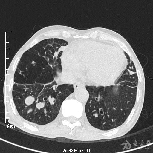
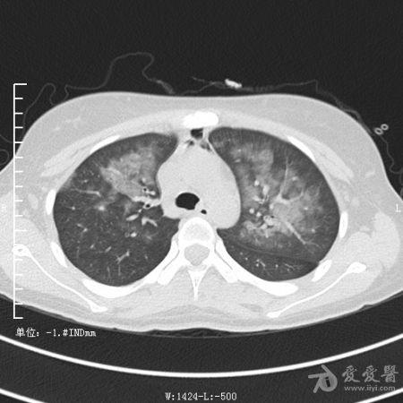
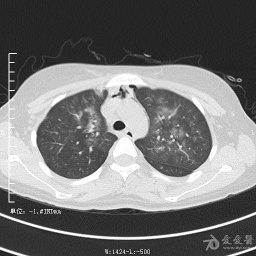
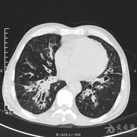
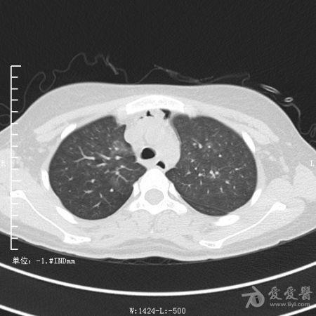
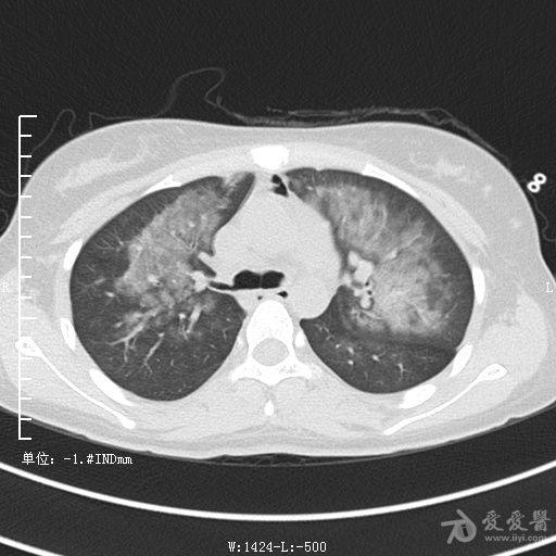
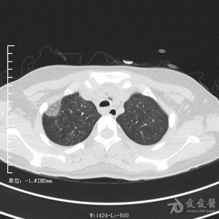
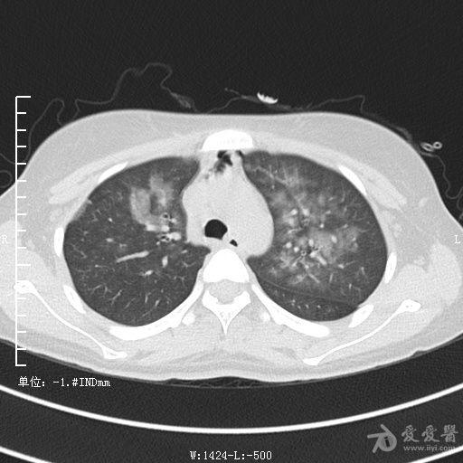
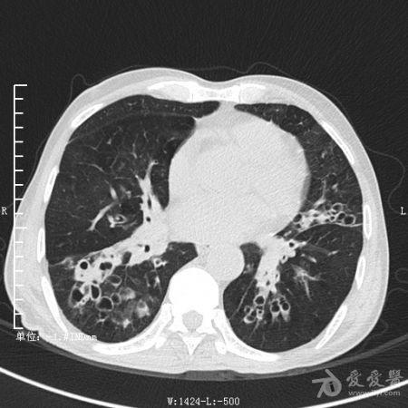
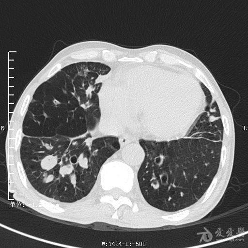
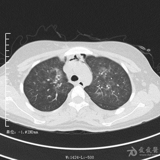
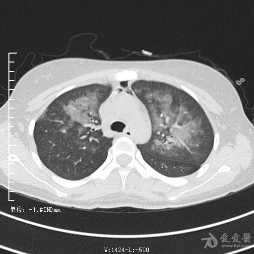
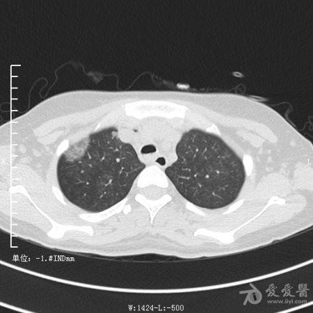
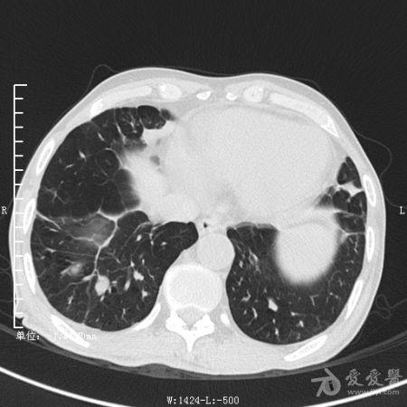
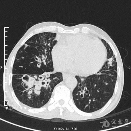
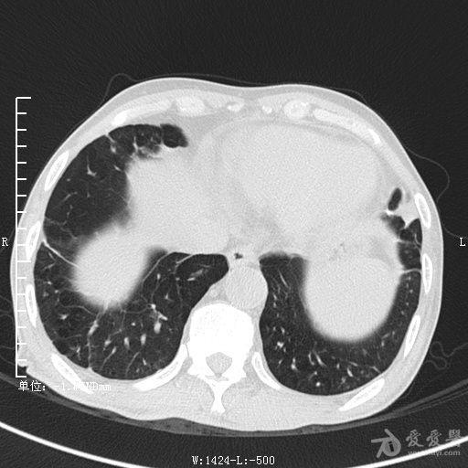
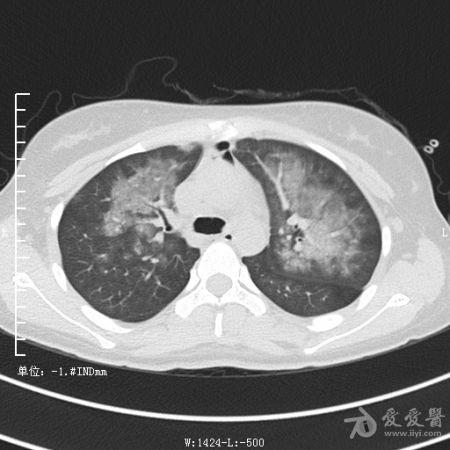
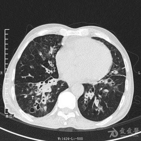
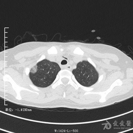
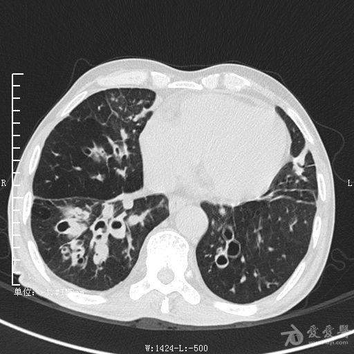
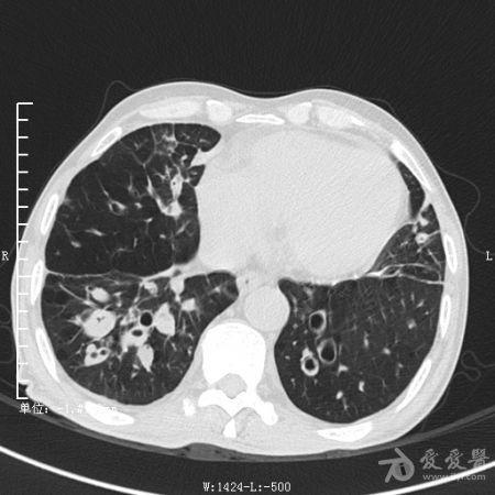
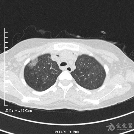
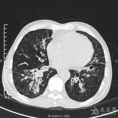
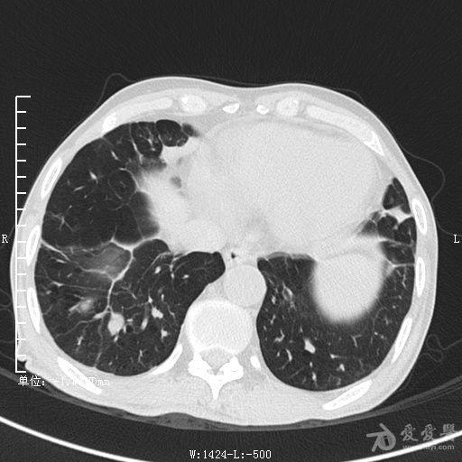
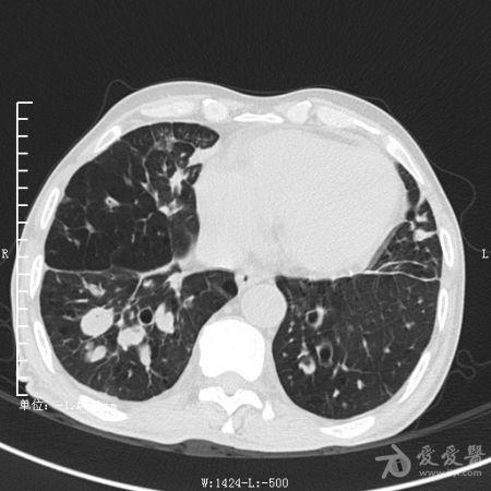
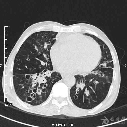
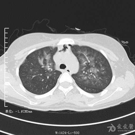
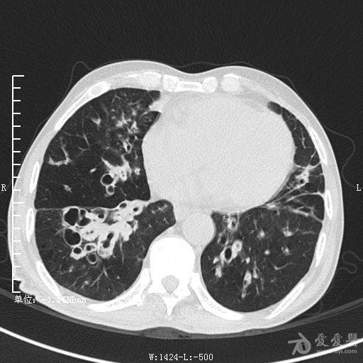
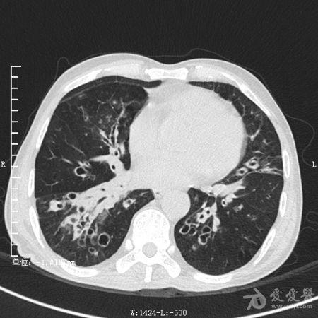
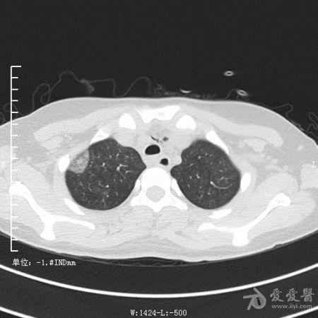
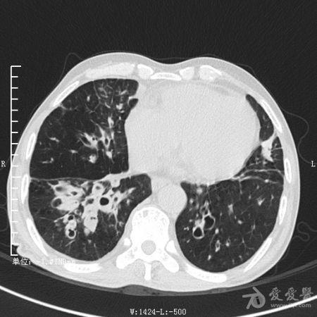
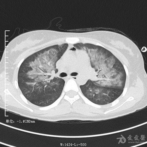
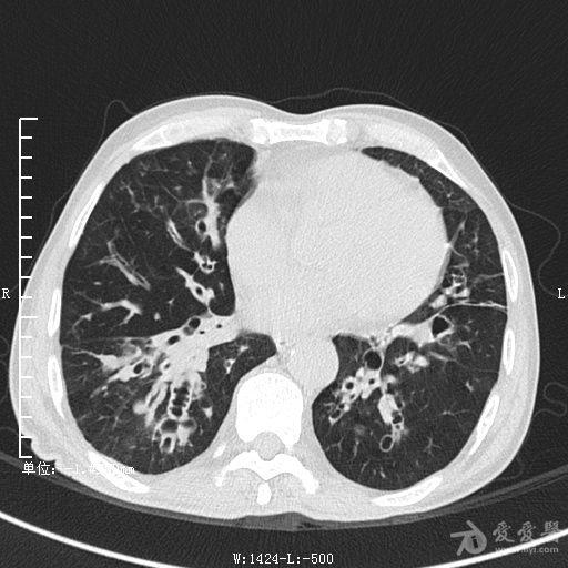
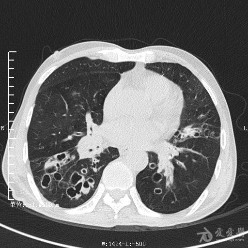
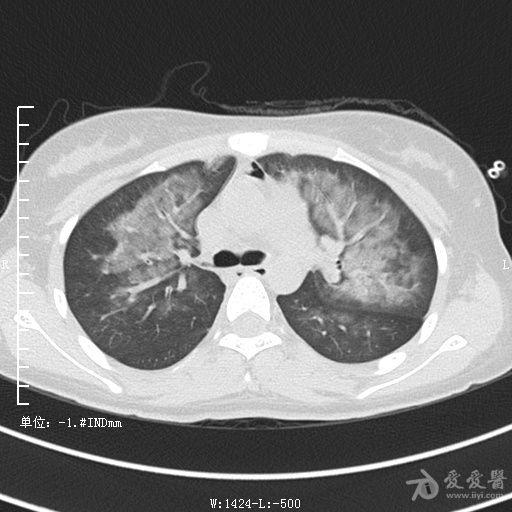
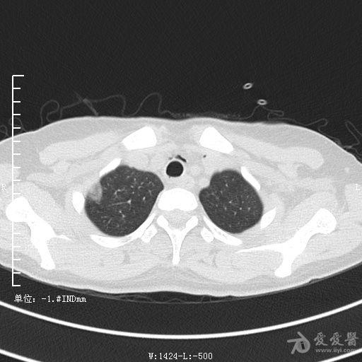
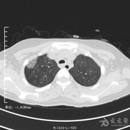
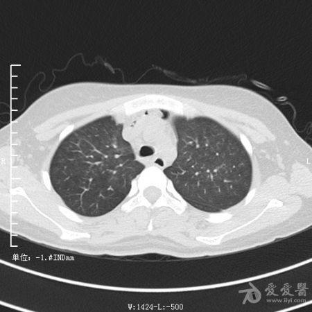
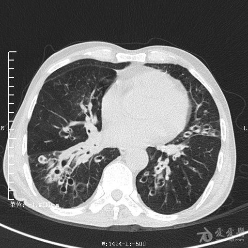
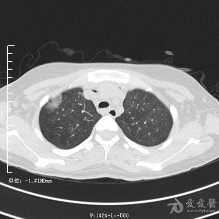
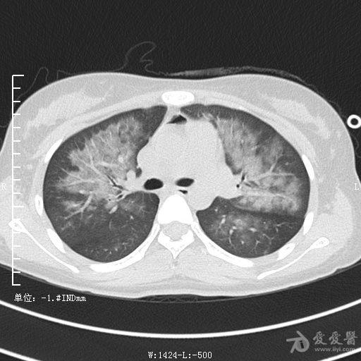
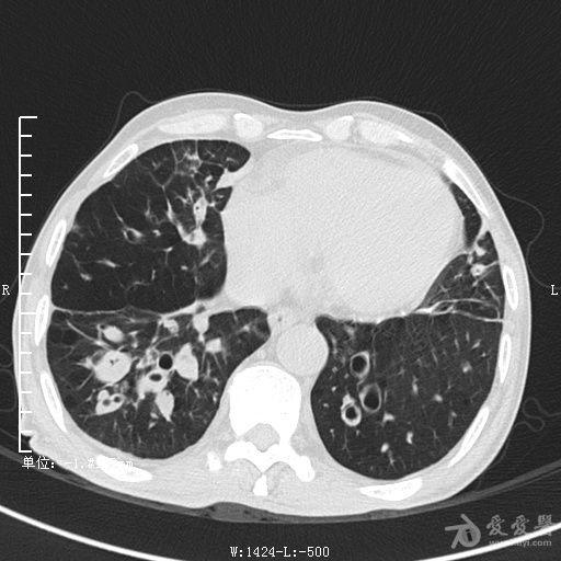
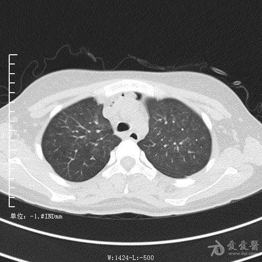
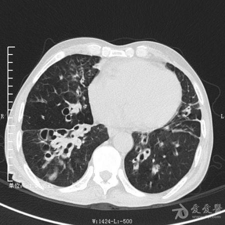
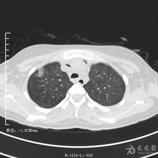
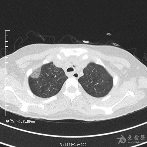
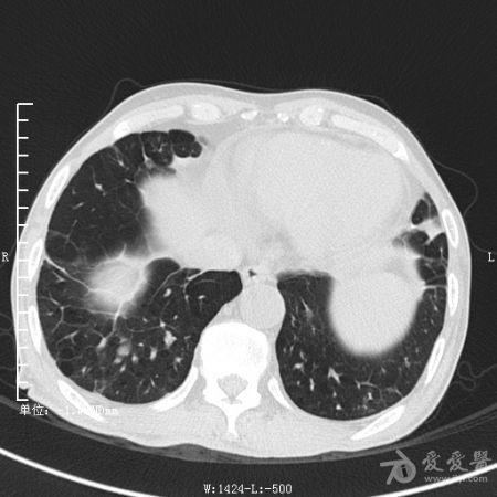
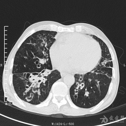
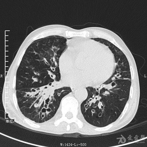
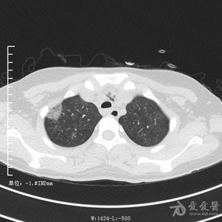
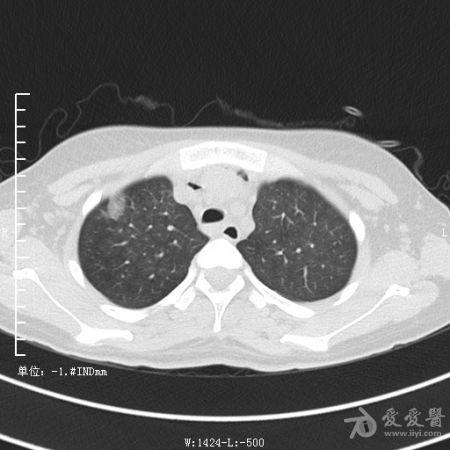
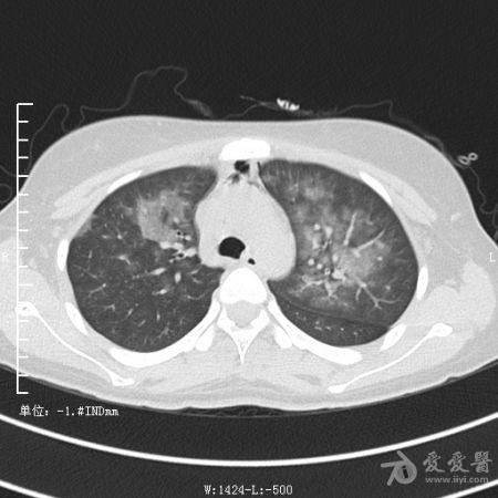
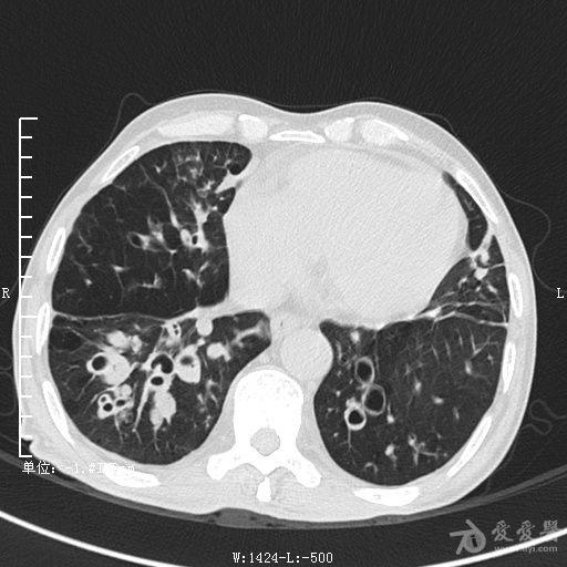
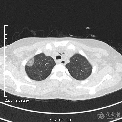
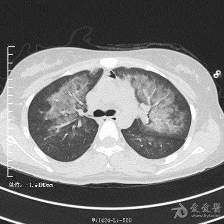
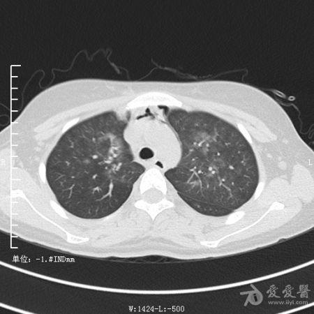
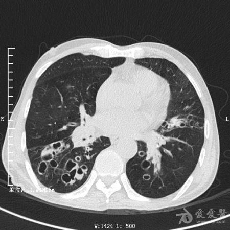
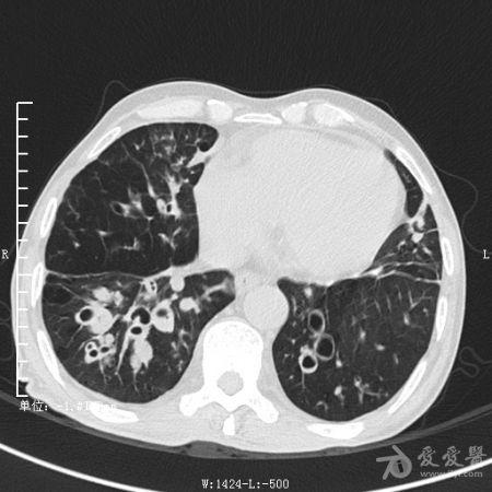
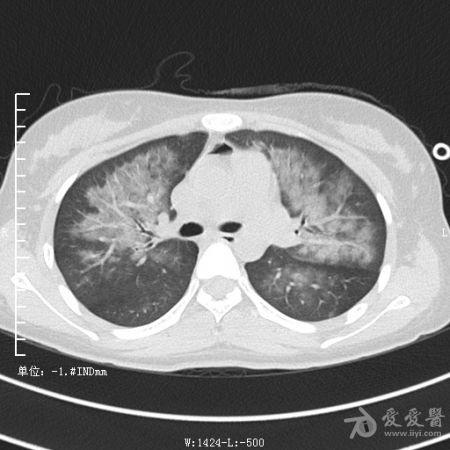
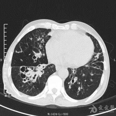
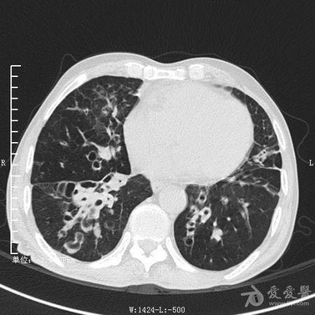
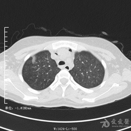
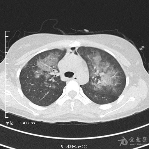
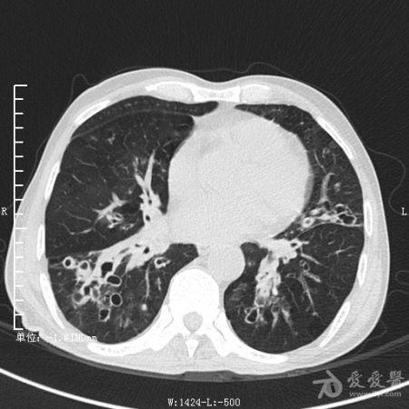
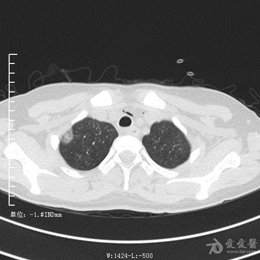
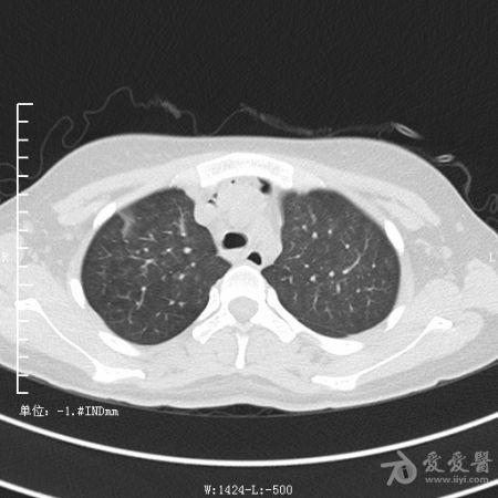
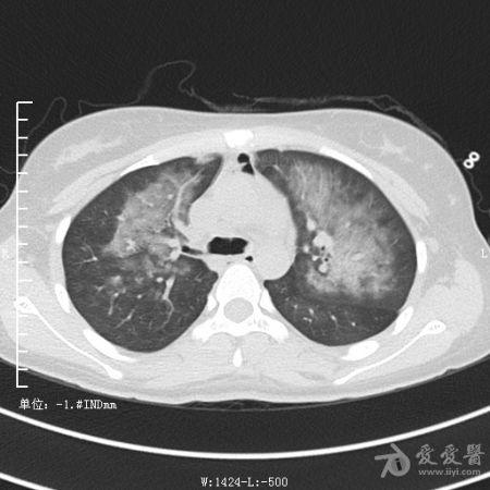
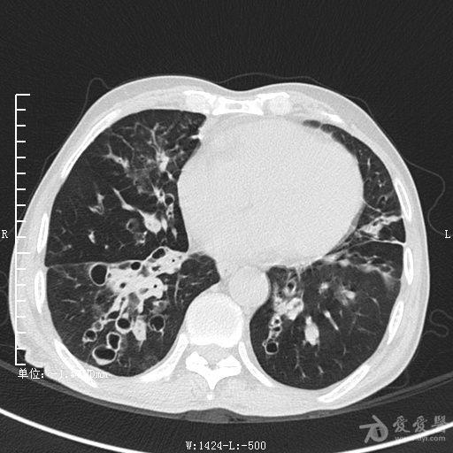
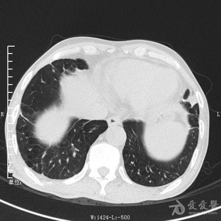
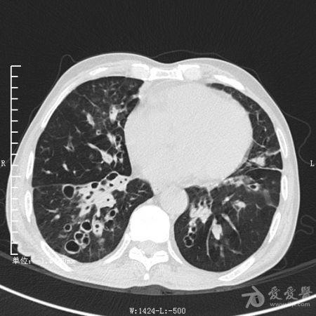
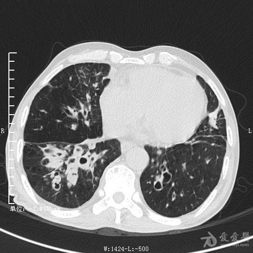
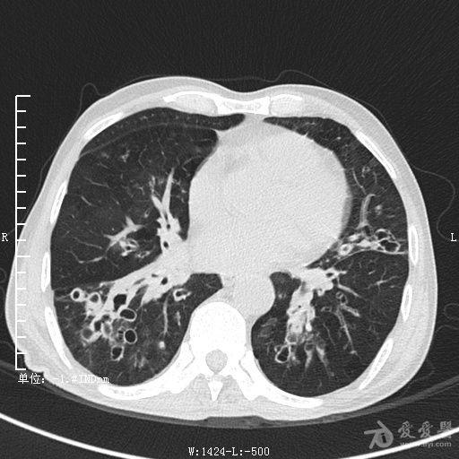
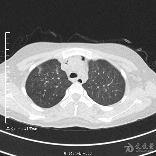
典型支气管扩张及肺水肿CT片

z****8 楼主
+关注
本帖最后由 angsl 于 2012-12-27 13:11 编辑

典型支气管扩张肺水肿



























































2012-12-25 19:32:40  4959 浏览
全部评论
a****5 抢首赞
多谢分享,不错的片子,有用。
2012-12-30 18:01:43·江西省 回复
p****y 抢首赞
很典型~谢谢楼主的分享,继续积累知识
2012-12-30 17:49:43·重庆市 回复
p****u 抢首赞
学习了不少知识 ,多谢分享
2012-12-25 22:29:09·山西省 回复
登录后查看全部评论
4
热门推荐
教科书式病例,医生有多想遇见?
医生会帮同行解释吗?
医生如何当好健康“守门人”?
医生的诊疗时间,够用吗?