诊疗助手APP
百万医护都在兼职、学习、交流
立即打开
左锁骨陈旧性骨折
z****y
楼主
+关注
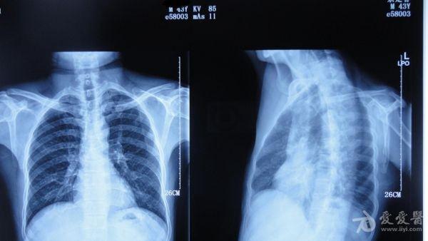
患者**,男,43岁,2个月前因不慎摔伤致左锁骨内侧骨折,行保守治疗,锁骨、前臂吊带固定。定期拍片复查,最近一次X片示骨折断端内侧向后上移位,外侧向前下移位。于12月20日诊断以“左锁骨骨折骨不连2月余”入院。专科检查:左锁骨压痛叩击痛,外形畸形,肩关节活动受限。昨日在臂丛下行骨折切开复位内固定术,用三枚克氏针固定。大家看一下,讨论讨论有什么更好的办法吗?受伤时
入院时拍的
术中照片
2012-12-23 22:23:06 8184 浏览
全部评论
h****8
抢首赞
一根就好了。搞那么复杂干什么,人家骨折愈合时间本来就不够。
2013-01-05 22:16:45
·
广东省
回复
q***e
抢首赞
本帖最后由 quxie 于 2013-1-5 20:20 编辑 骨不连的概念要搞清哦,临床认为骨折超过6-8个月没有愈合的且骨折断段明显出现钙化迹象的 才能称为骨不连,锁骨骨折才2月余,保守治疗仍有愈合的希望;你这个三枚克氏针治疗也是个新的治疗办法?容易退针。
2013-01-05 16:13:46
·
内蒙古自治区
回复
j****j
抢首赞
个病例可以选择保守治疗,如果外观看没有明显畸形,不用手术。既然已经做了,那就靠时间了。
2013-01-04 15:28:19
·
陕西省
回复
登录后查看全部评论
8
发送
热门推荐
教科书式病例,医生有多想遇见?
医生会帮同行解释吗?
医生如何当好健康“守门人”?
医生的诊疗时间,够用吗?