诊疗助手APP 百万医护都在兼职、学习、交流
立即打开

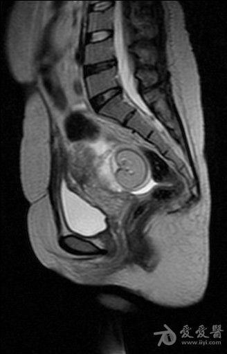
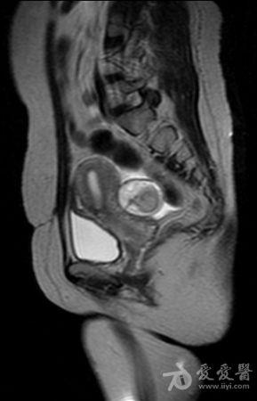
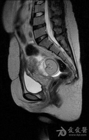
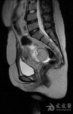
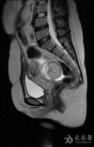
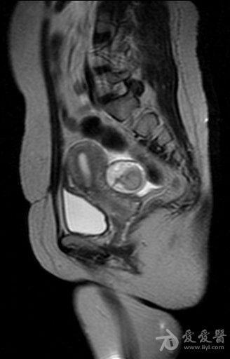
体检发现盆腔包块入院检查(较典型病例MRI平扫加增强)。

大**弟 楼主
+关注
病史如题。图像如下。 T2




2012-12-19 21:41:27  5460 浏览
全部评论
z****5 抢首赞
学习了,谢谢楼主
2017-08-18 11:19:17·福建省 回复
z****8 抢首赞
典型病例,学习
2017-08-17 07:19:46·四川省 回复
x****n 抢首赞
含有脂质信号,边缘清楚,考虑畸胎瘤
2017-08-16 17:32:51·湖南省 回复
登录后查看全部评论
15
热门推荐
教科书式病例,医生有多想遇见?
医生会帮同行解释吗?
医生如何当好健康“守门人”?
医生的诊疗时间,够用吗?