诊疗助手APP
百万医护都在兼职、学习、交流
立即打开
右心膈角是什么?
z****8
楼主
+关注
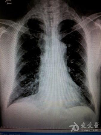
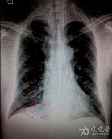
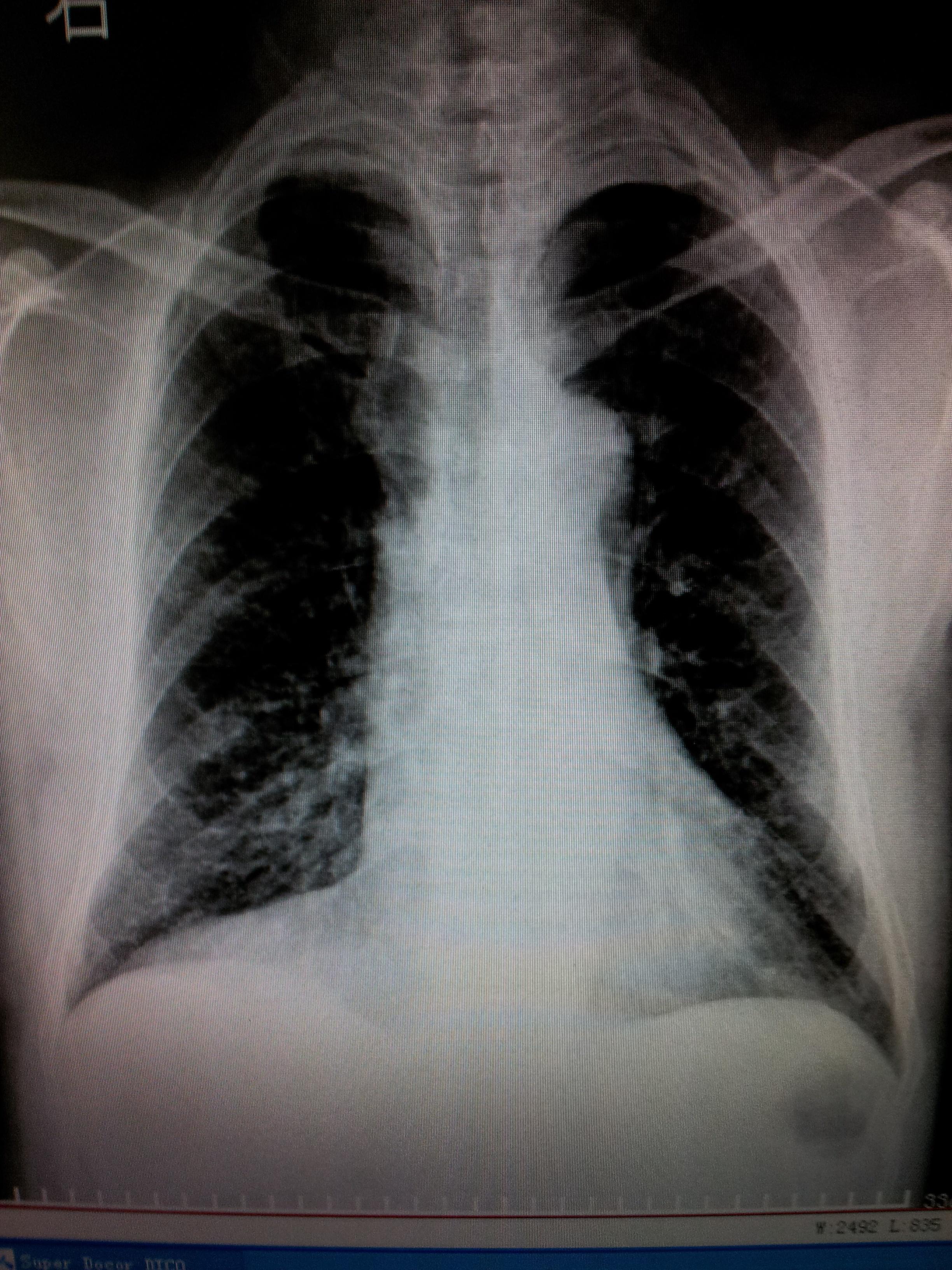
男,52岁,右心膈角是什么?
2012-11-22 18:56:49 16289 浏览
全部评论
g****2
抢首赞
超越心包位置太多了,明显靠外了。肯定不是心包脂肪垫。如果的一个侧位就好了。提出一个可能“波浪膈”。欢迎质疑。
2013-03-18 15:06:21
·
广东省
回复
y****2
抢首赞
三角形的,结合透视看看,肺部张不能除外的。
2013-03-18 09:42:12
·
云南省
回复
G***8
抢首赞
同意楼上,心包脂肪垫。
2013-03-16 22:33:00
·
广西壮族自治区
回复
登录后查看全部评论
12
发送
热门推荐
教科书式病例,医生有多想遇见?
医生会帮同行解释吗?
医生如何当好健康“守门人”?
医生的诊疗时间,够用吗?