诊疗助手APP 百万医护都在兼职、学习、交流
立即打开

肱骨骨折术后,大家看看啊,求治疗方案!!!

玉* 楼主
+关注
患者:女,51岁,患者因右肱骨外科颈骨折术后右肩疼痛、活动障碍1年余于2012-11-21 14:58:33由步行入院。
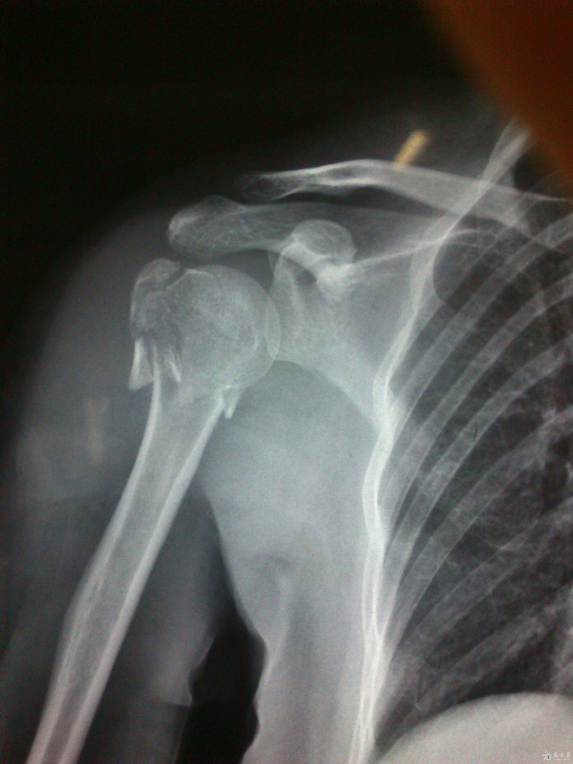
病史特点及病情摘要:1、患者女性,51岁。2、患者自诉入院前1年余因右肱骨外科颈骨折在外院行切开复位内固定术,术后右肩关节疼痛、活动受限,一直未予处理,今为明确诊治入院。患者精神、食欲、睡眠尚可。3、既往史、个人史、家族史无特殊。4、入院查体:生命征平稳,心肺腹检查未见异常,NS(-)。专科情况:右上臂近端内侧见一约15cm手术切口疤痕,愈合佳,右肩关节能外展20度,前屈、后伸及旋前、旋后功能障碍,余关节活动好。舌质红,苔薄白,脉实。5、辅助检查:右肩关节正侧位片:右肱骨外科颈骨折内固定术后再骨折伴右肩关节脱位。
诊断:右肱骨外科颈骨折内固定术后再骨折伴右肩关节脱位
诊疗计划:????前两张片是院外术前,中间两张是院外术后,后两张是在我院照。 术前
术前
院外术后
院外术后
我院门诊
2012-11-22 17:33:46  11963 浏览
全部评论
玉* 抢首赞
术后患者如今恢复还不错,谢谢大家!
2012-12-20 14:31:28·广西壮族自治区 回复
小***q 抢首赞
同意楼主观点,患者第一次手术复位欠佳,但可勉强接受。但钉子穿出,是手术后肩关节疼痛的主要原因,现在看骨折已愈合,头无明显头坏死迹象,只需取出内固定,麻醉下活动肩关节,使肩关节活动度改善,术后加强功能锻炼,应该恢复不错。
2012-11-29 17:15:20·新疆维吾尔自治区 回复
甜***3 抢首赞
是的,就这样了:帮忙取出了内固定物,病人是没有什么不满意的理由的.后期,让病人循序渐进地进行肩关节的功能锻炼,避免再次骨折,
2012-11-29 14:10:06·湖北省 回复
登录后查看全部评论
28
热门推荐
教科书式病例,医生有多想遇见?
医生会帮同行解释吗?
医生如何当好健康“守门人”?
医生的诊疗时间,够用吗?